The borders of the nodule - case 2056 |
|
Clinical presentation: A 40-yr-old woman was referred for aspiration cytology of a nodule detected on evaluation of diffuse complaints.
Palpation: no abnormality.
Laboratory test: TSH 2.07 mIU/L.
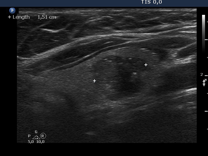
Ultrasonography. The thyroid was echonormal. There was a hypoechoic lesion in the left lobe. It was equivocal whether the lesion was composed of multiple nodules, therefore most of the lobulations seen on the surface of the mass were of questionable origin. However, there were protrusions in the ventral and medial part of the mass which were suspicious being pathological lobulations.
Cytology was resulted in benign follicular proliferation.





