The borders of the nodule - case 2089 |
|
Clinical presentation: A 67-yr-old woman was referred for evaluation of an elevated serum calcium level.
Palpation: no abnormality.
Laboratory tests: TSH 1.76 mlU/L, parathormone 52.8 ng/mL (normal value 12-88).
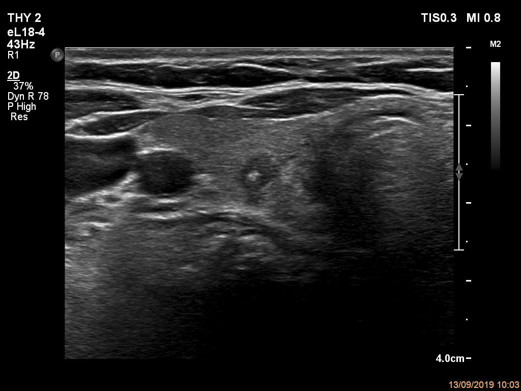
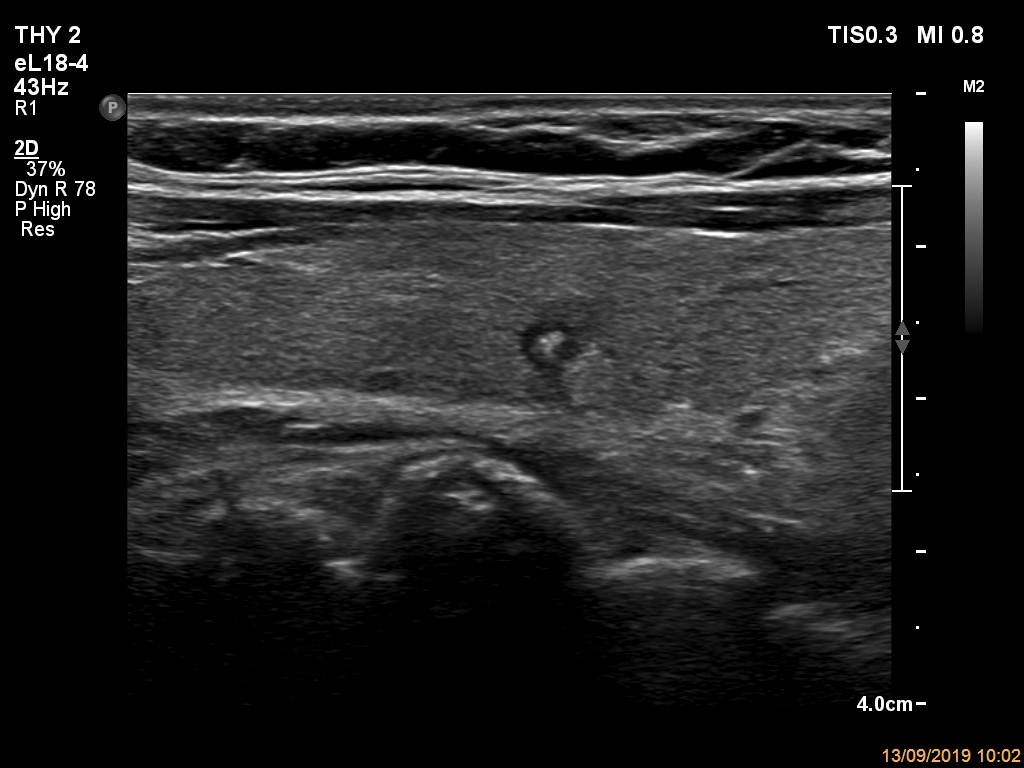
Ultrasonography. The thyroid was echonormal. There was a small hypoechogenic lesion in the central part of the right lobe. The lesion had microcalcification and non-parallel orientation, presented both taller-than-wide and taller-than-long shape. The left lobe had a hypoechogenic mass composed of discrete lesions. The whole mass displayed undulated margins which corresponded to non-pathological lobulation. On the other hand, a lesion within the mass had pathological, spiculated margins.
Cytology was performed from both nodules and resulted in benign lesion.
Comment. This case illustrates the difference between pathological and non-pathological forms of lobulation.









