The borders of the nodule - case 2115 |
|
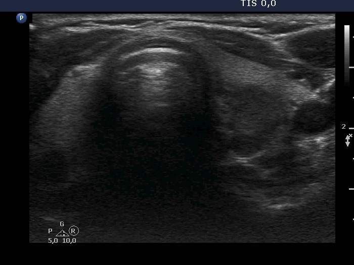
Clinical presentation: A 42-yr-old woman was referred for evaluation of a nodular goiter detected by chance on carotid Doppler examination.
Palpation: no abnormality.
Laboratory tests: TSH 3.59 mIU/L, FT4 15.7 pM/L.
Ultrasonography. The thyroid was echonormal. There was a mass in the dorsal part of the left lobe. The lesion presented parts with different echogenicities.
Cytology resulted in benign lesion.
Comment. The issue is whether the lesion is composed of one or more nodules. In the former case it has lobulated margins, in the latter this is a non-pathological lobulation. Nonetheless, the question is only theoretical because the nodule requires cytological evaluation.





