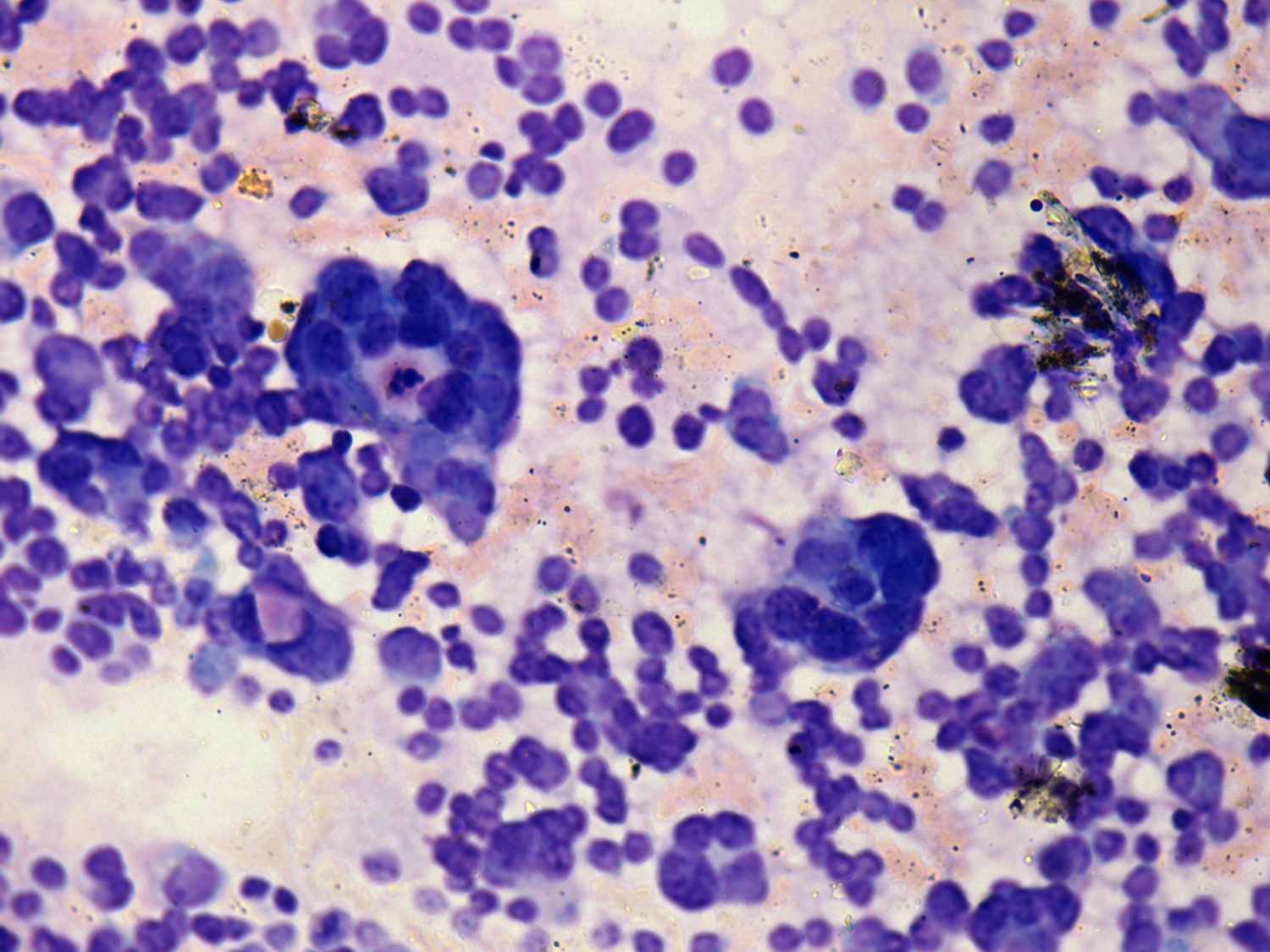
The borders of the nodule - case 349 (picture 4 of intraoperative imprint smear)


Previous picture Back to Case Maximize Next picture

Right lobe, longitudinal scan

Wright-Giemsa staining, 400x.    Dispersed cells without any structure predominate the smear.

 

 

 

 

mask