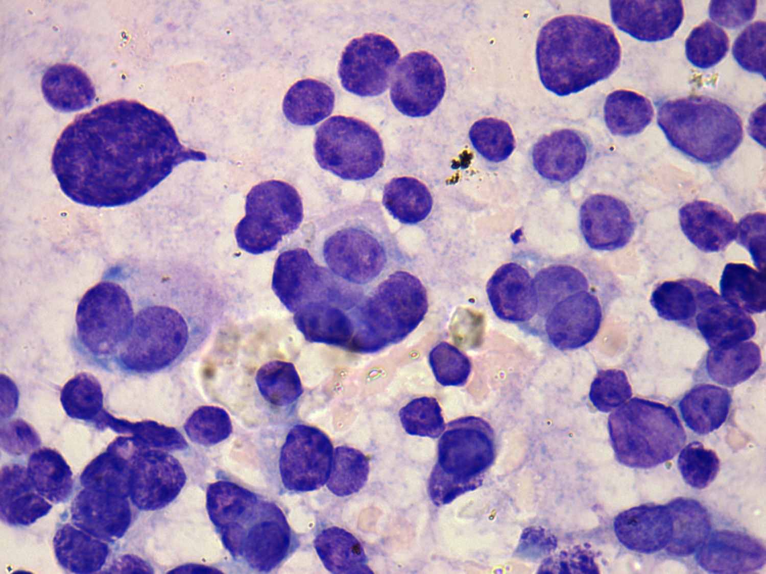
The borders of the nodule - case 349 (picture 5 of intraoperative imprint smear)
|
|
|
![]() |
|
Wright-Giemsa staining, 1000x. There were a few atypical pleomorphic cells on the smear. Most cells have only a thin cytoplasmatic rim.

