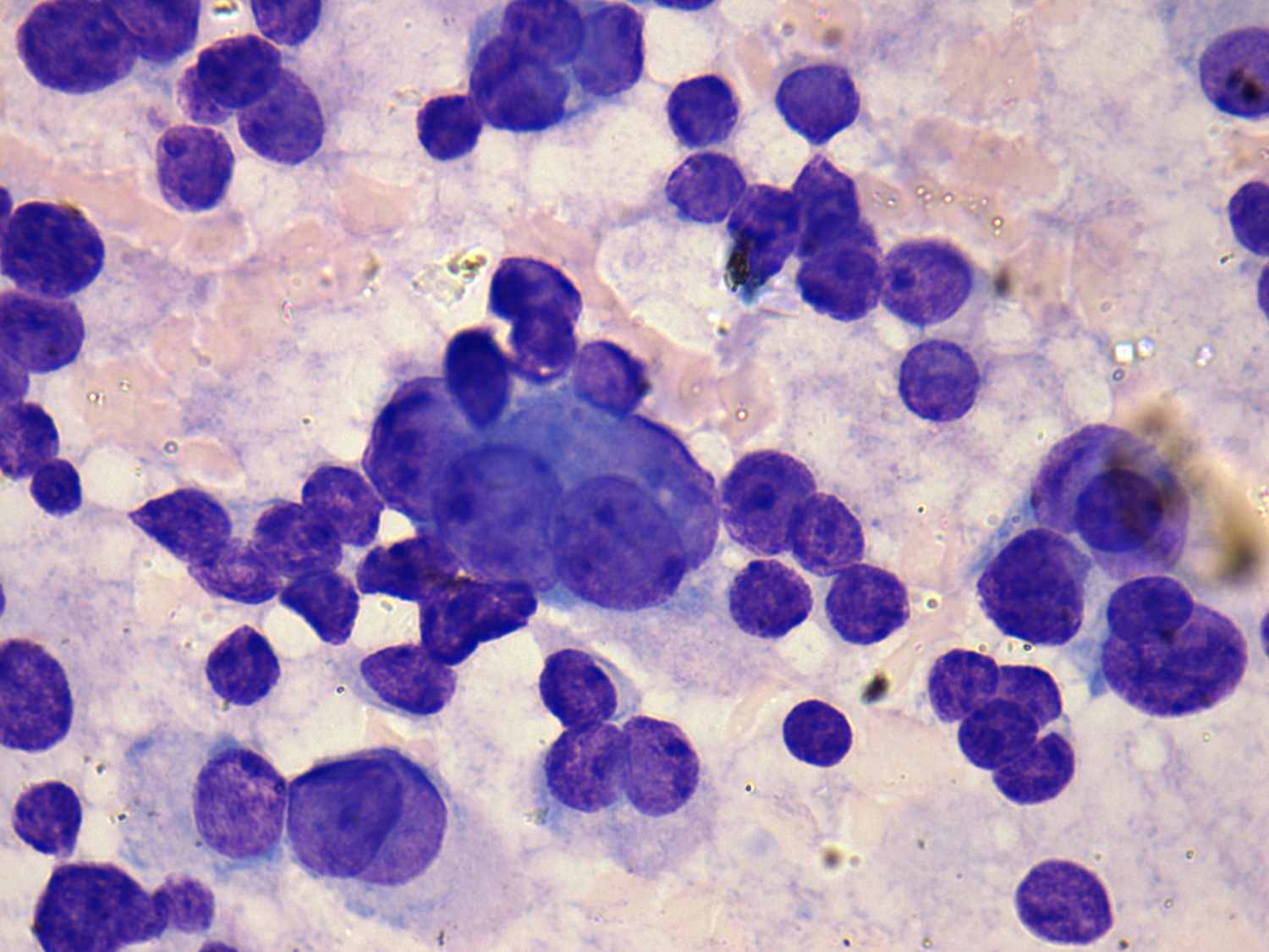
The borders of the nodule - case 349 (picture 6 of intraoperative imprint smear)


Previous picture Back to Case Maximize  

Right lobe, longitudinal scan

Wright-Giemsa staining, 1000x.   Nuclei have small prominent nucleoli.

 

 

 

mask