The borders of the nodule - case 349 (cytologic picture 2)


Previous picture Back to Case Maximize Next picture

Right lobe, longitudinal scan

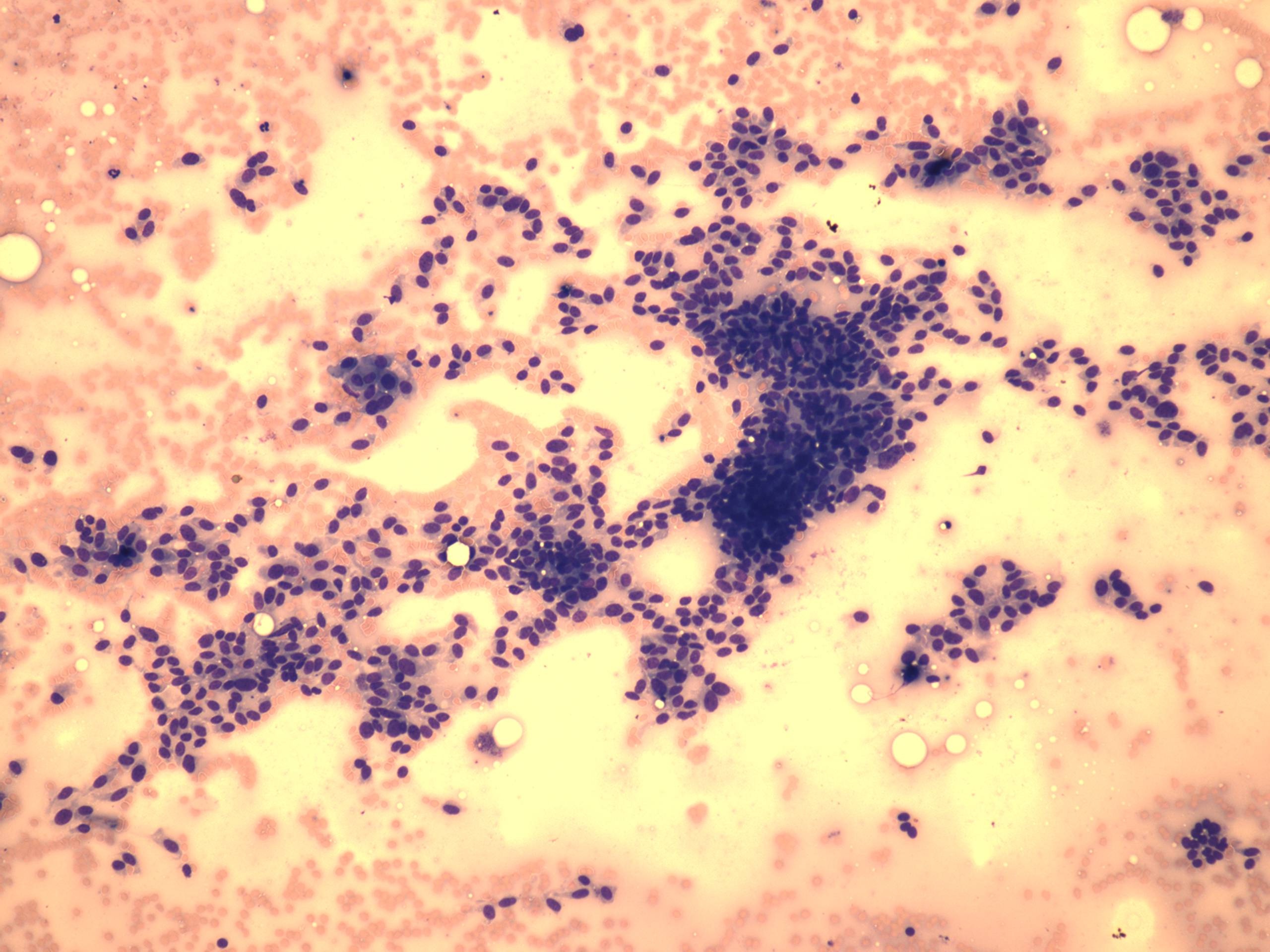
Wright-Giemsa-staining, 100x.   There is a syncytial cluster of C-cells.

 

 

 

mask