The borders of the nodule - case 638 (cytologic picture 4)


Previous picture Back to Case Maximize Next picture

Right lobe, longitudinal scan

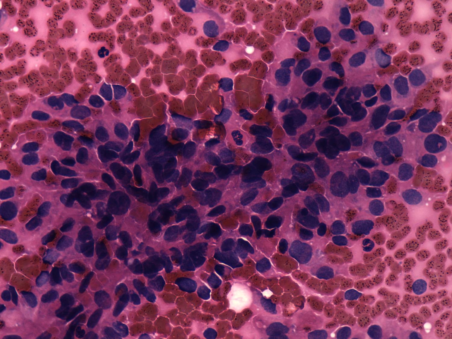
H.-E. smear, 400x.   Note atypical elongated tumor cells. The cells forming acini lost their polarity.

mask