The borders of the nodule - case 638 (cytologic picture 5)


Previous picture Back to Case Maximize Next picture

Right lobe, longitudinal scan

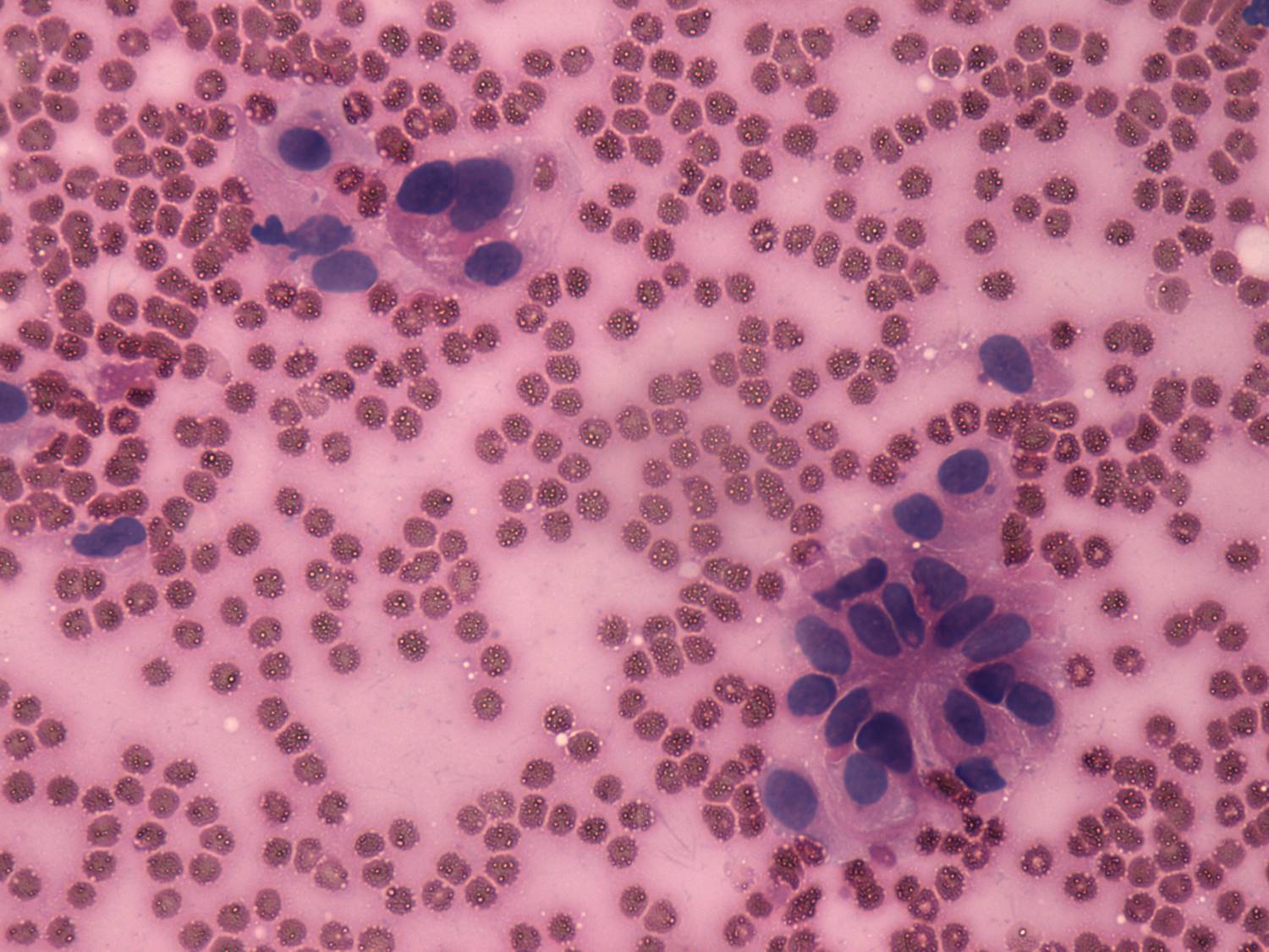
H.-E. smear, 400x.   A rosette formed by spindle-cells.

mask