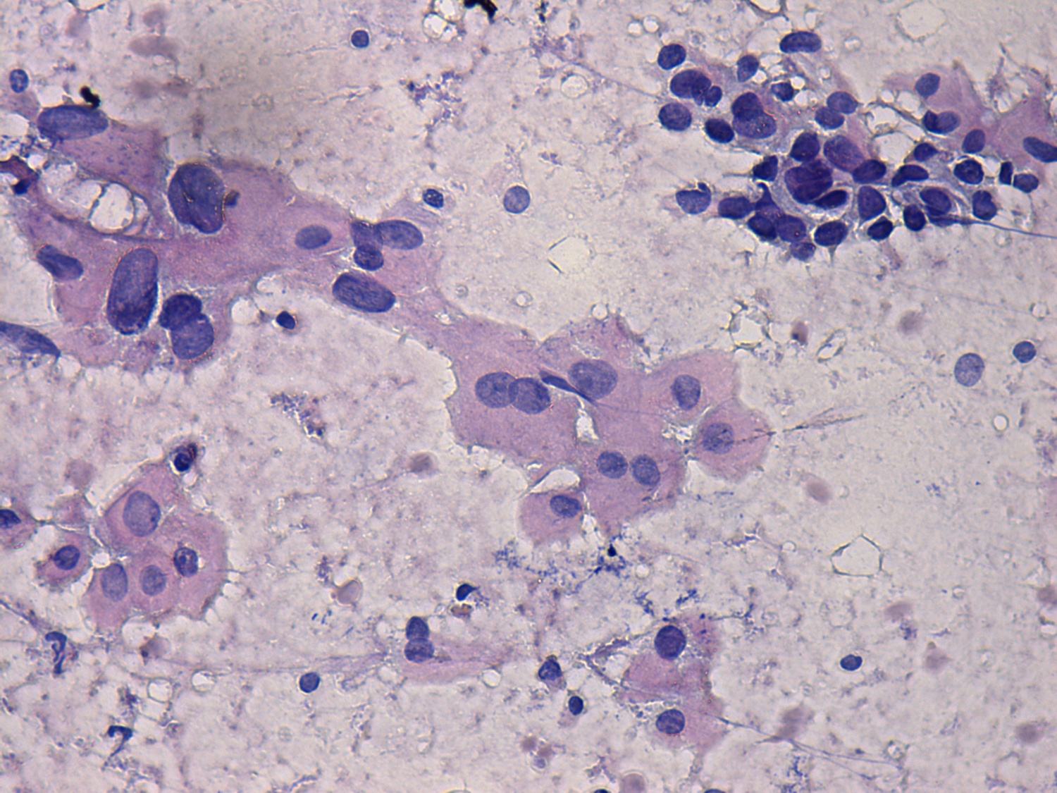
The borders of the nodule - case 880 (cytologic picture 5)
|
|
|
![]() |
|
Pap-smear, 400x. Two cell populations are presented: oxphilic cells on the left displaying pleomorphism and non-metaplastic follicular cells on the right.

