The borders of the nodule - case 880 (cytologic picture 6)


Previous picture Back to Case Maximize  

Right lobe, longitudinal scan

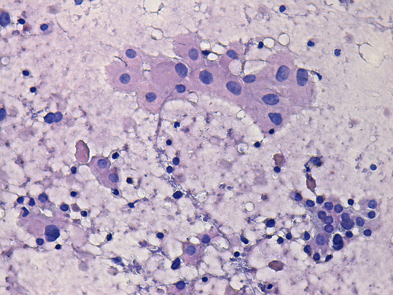
Pap-smear, 400x.   Note the presence of lymphocytes within oxyphilic cell groups.

mask