The borders of the nodule - case conp 027 (cytologic picture 11)


Previous picture Back to Case Maximize Next picture

Right lobe, longitudinal scan

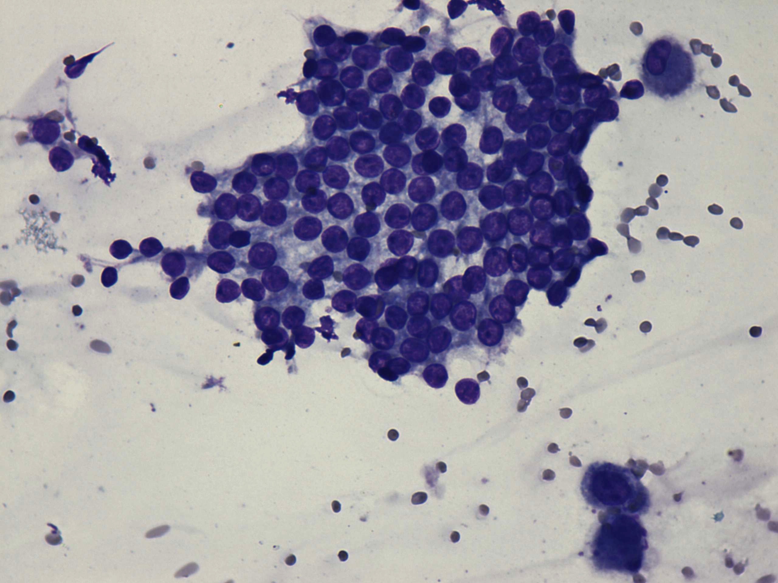
Wright-Giemsa staining, 400x.   There is a well-preserved monolayered sheet.

mask