The borders of the nodule - case conp 027 (cytologic picture 13)


Previous picture Back to Case Maximize Next picture

Right lobe, longitudinal scan

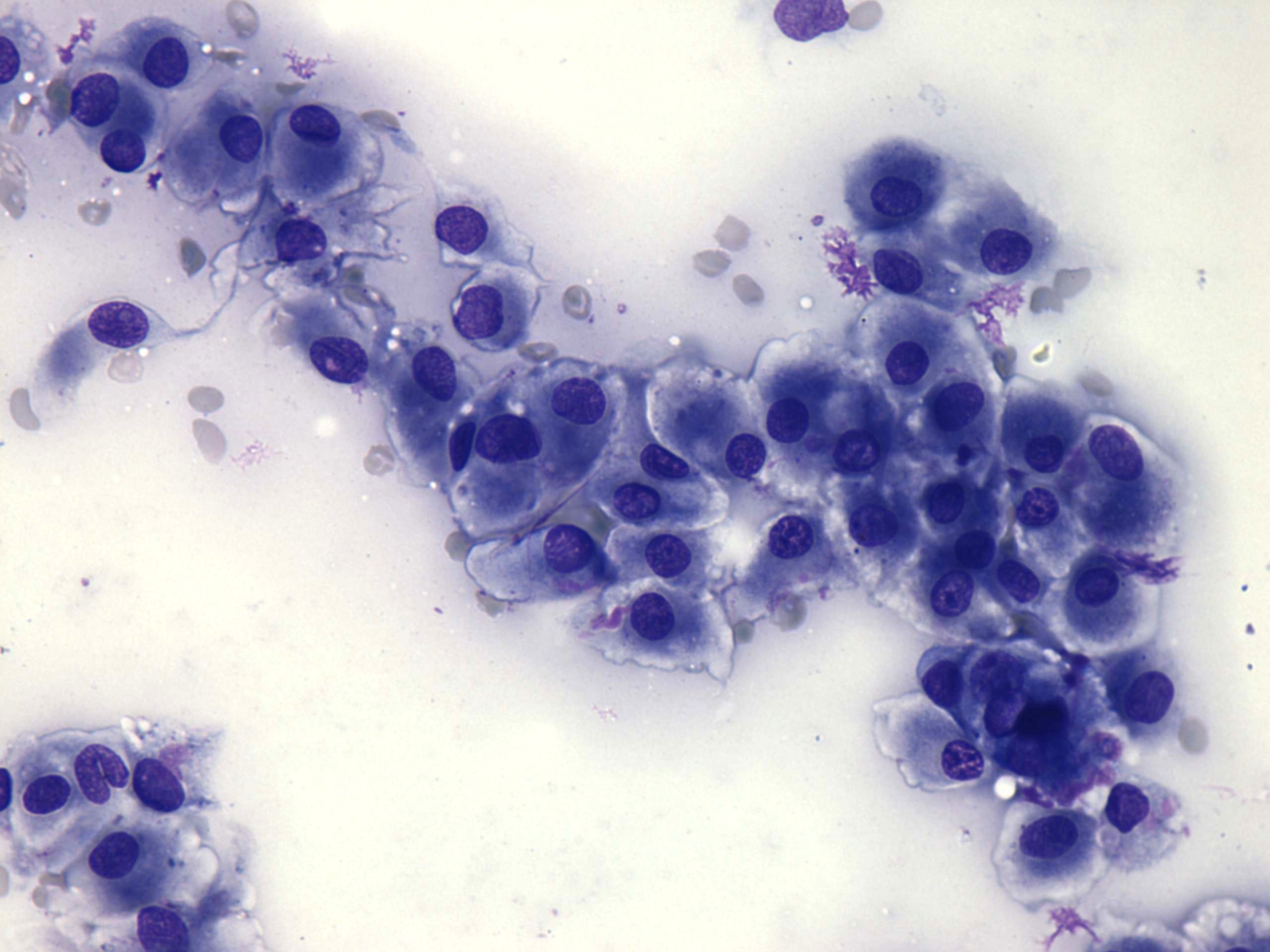
Wright-Giemsa staining, 400x.   These cells show oxyphilic changes. Note the presence of groove.

mask