The borders of the nodule - case conp 027 (cytologic picture 14)


Previous picture Back to Case Maximize Next picture

Right lobe, longitudinal scan

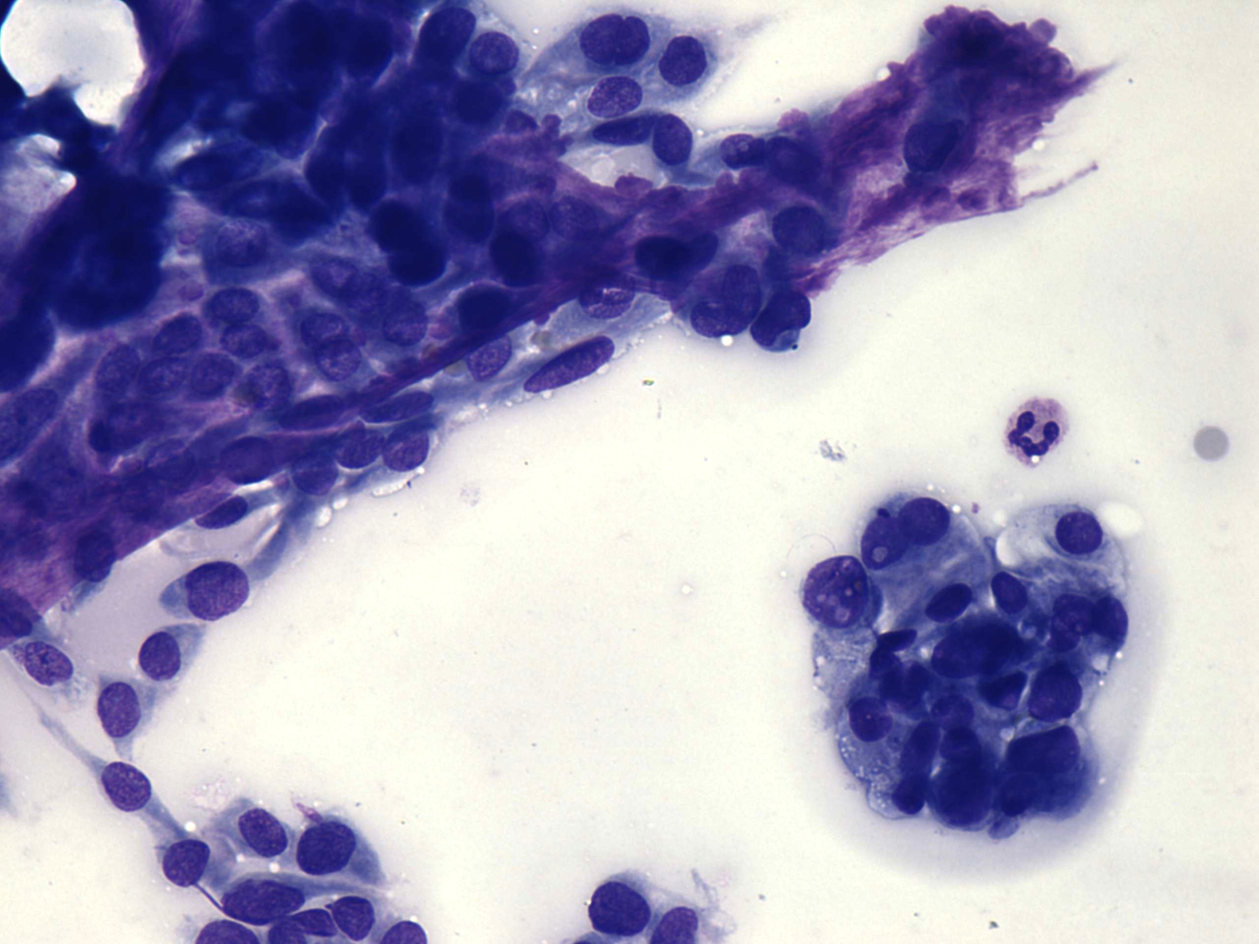
Wright-Giemsa staining, 400x.   Several nuclei have inclusion.

mask