The borders of the nodule - case conp 027 (cytologic picture 15)


Previous picture Back to Case Maximize Next picture

Right lobe, longitudinal scan

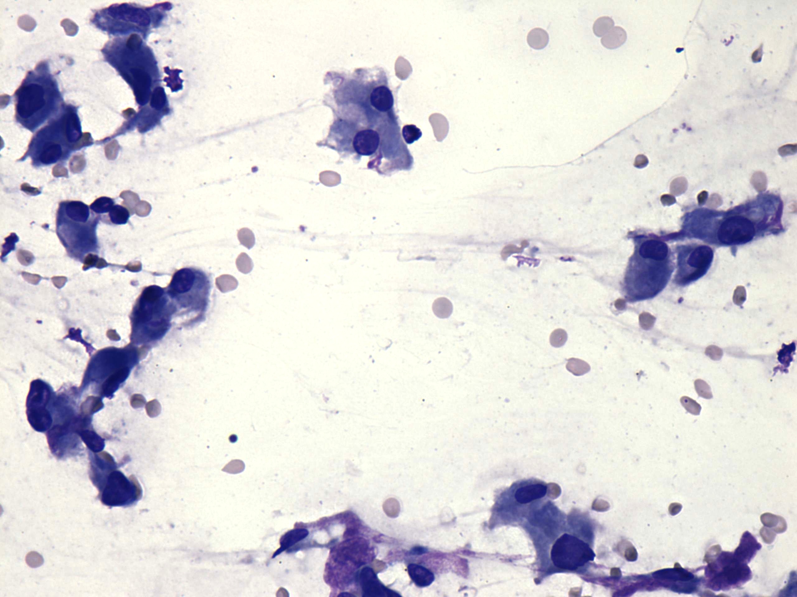
Wright-Giemsa staining, 400x.   Isolated oxyphilic cells are demonstrated.

mask