The borders of the nodule - case conp 027 (cytologic picture 16)


Previous picture Back to Case Maximize Next picture

Right lobe, longitudinal scan

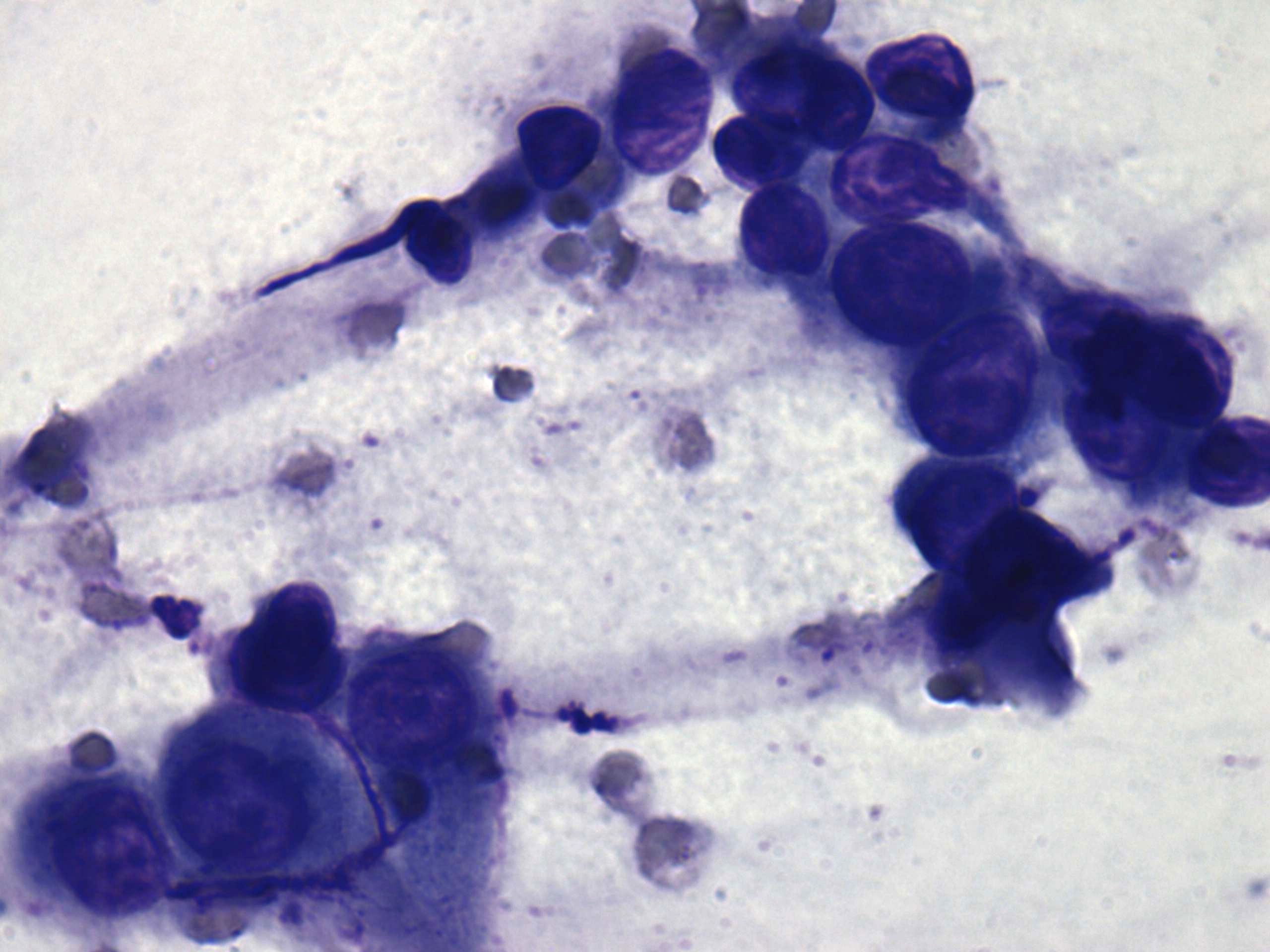
Wright-Giemsa staining, 1000x.   Follicular cells have coarsely granular chromatin structure.

mask