The borders of the nodule - case conp 044 (cytologic picture 1)


Previous picture Back to Case Maximize Next picture

Right lobe, longitudinal scan

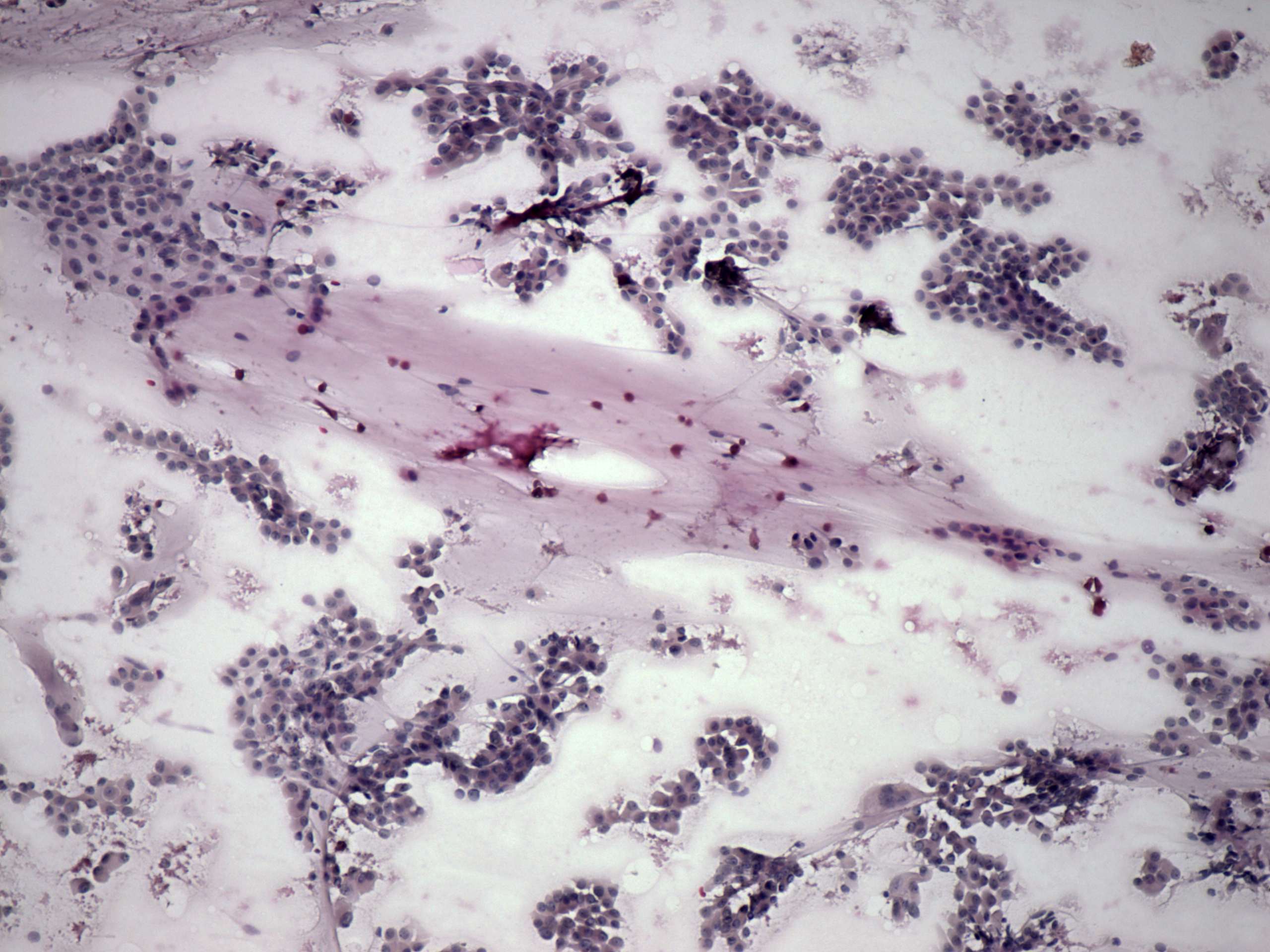
Pap-smear, 100x.  There is no colloid in the background. Follicular cells occur in monolayered sheets.

mask