The borders of the nodule - case conp 044 (cytologic picture 2)


Previous picture Back to Case Maximize Next picture

Right lobe, longitudinal scan

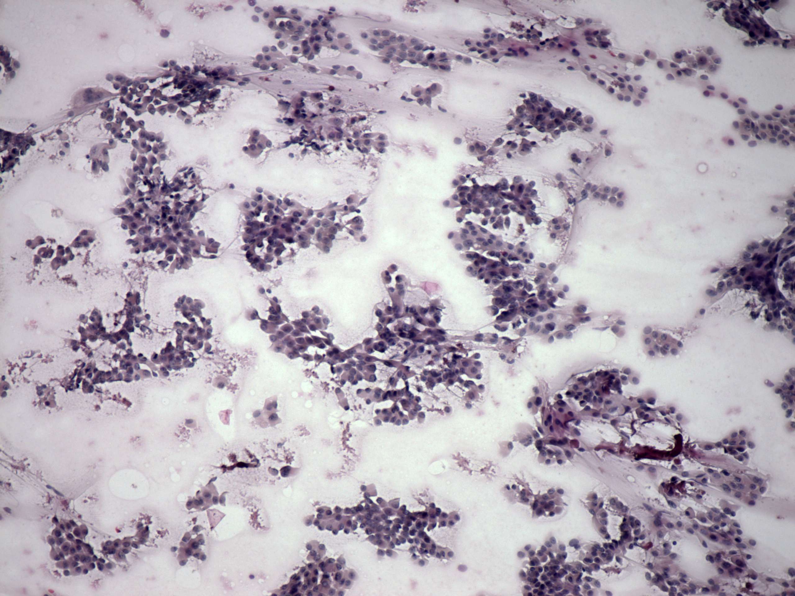
Pap-smear, 100x.  Loose clusters of follicular cells are demonstrated.

mask