The borders of the nodule - case conp 044 (cytologic picture 3)


Previous picture Back to Case Maximize Next picture

Right lobe, longitudinal scan

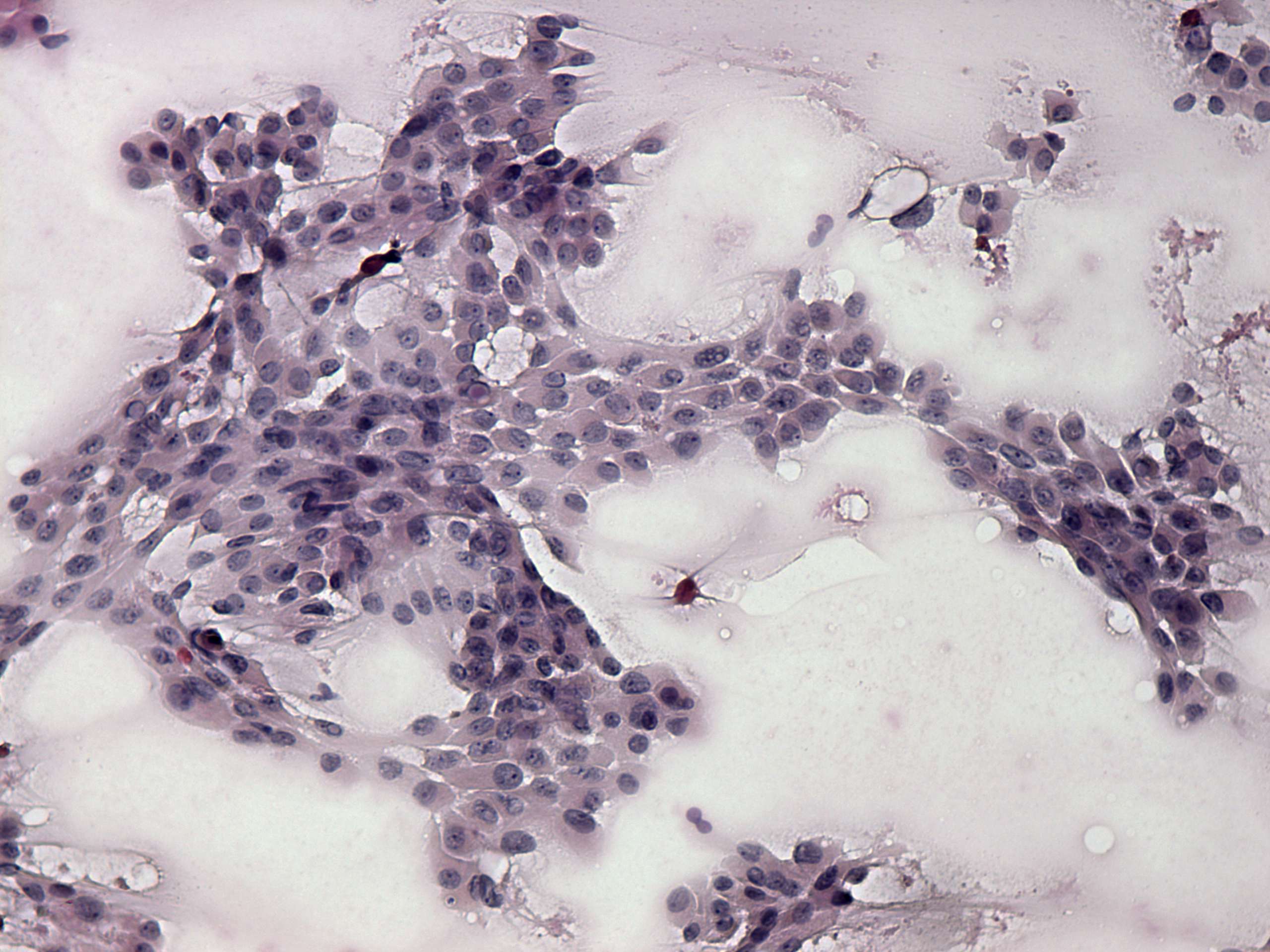
Pap-smear, 200x.  Follicular cells have abundant cytoplasm and display prominent nucleoli.

mask