The composition of the nodule - case 142

Examination 3 years later (ultrasonographic picture 3)


Previous picture Back to Case Next picture

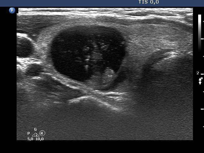
Right lobe, longitudinal scan

Right lobe, another transverse scan. The solid part presents non-specific granulations.

 

 

 

 

mask