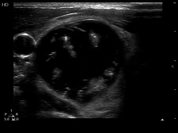
The composition of the nodule - case 1511 (ultrasonographic picture 2)
|
|
|
|
Right lobe, another transverse scan. Ragged echonormal tissue fragments float within the deeply hypoechogenic background. One of the echogenic figures cannot be categorized other than comet tail artifact.
