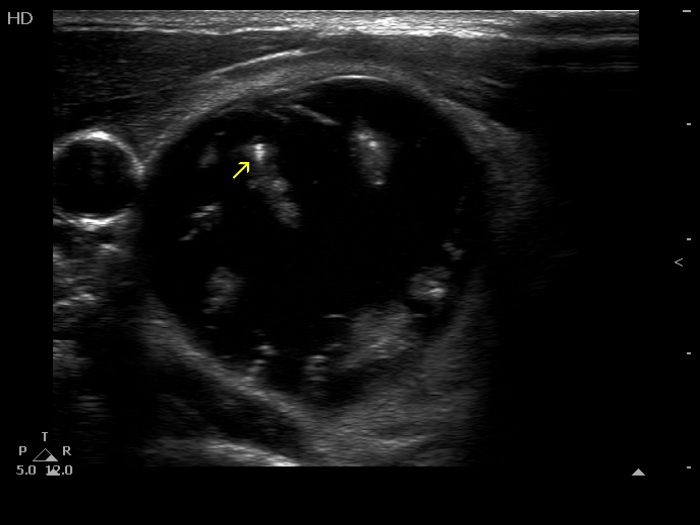
The composition of the nodule - case 1511 (ultrasonographic picture 2b)
|
|
|
|
Right lobe, another transverse scan. One of the echogenic figures cannot be categorized other than comet tail artifact (yellow arrow).
