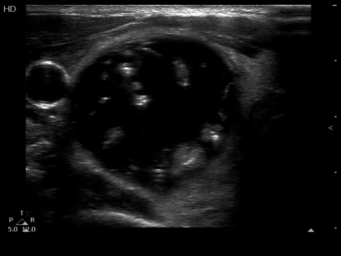
The composition of the nodule - case 1511 (ultrasonographic picture 3)
|
|
|
|
Right lobe, another transverse scan. The echogenic figures within the solid parts are partly caused by posterior back wall enhancement.
