The composition of the nodule - case 2180 |
|
Clinical presentation: A 55-year-old man was referred for evaluation of a multinodular goiter detected on screening.
Palpation: The right lobe was nodular on palpation.
Laboratory tests: TSH 0.30 mIU/L, FT4 13.3 pM/L.
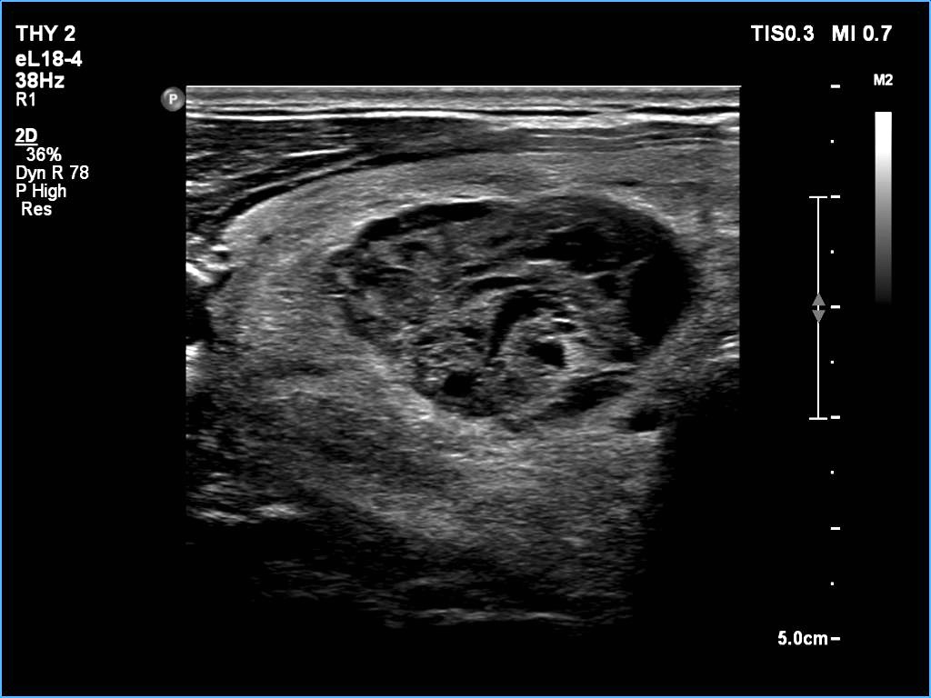
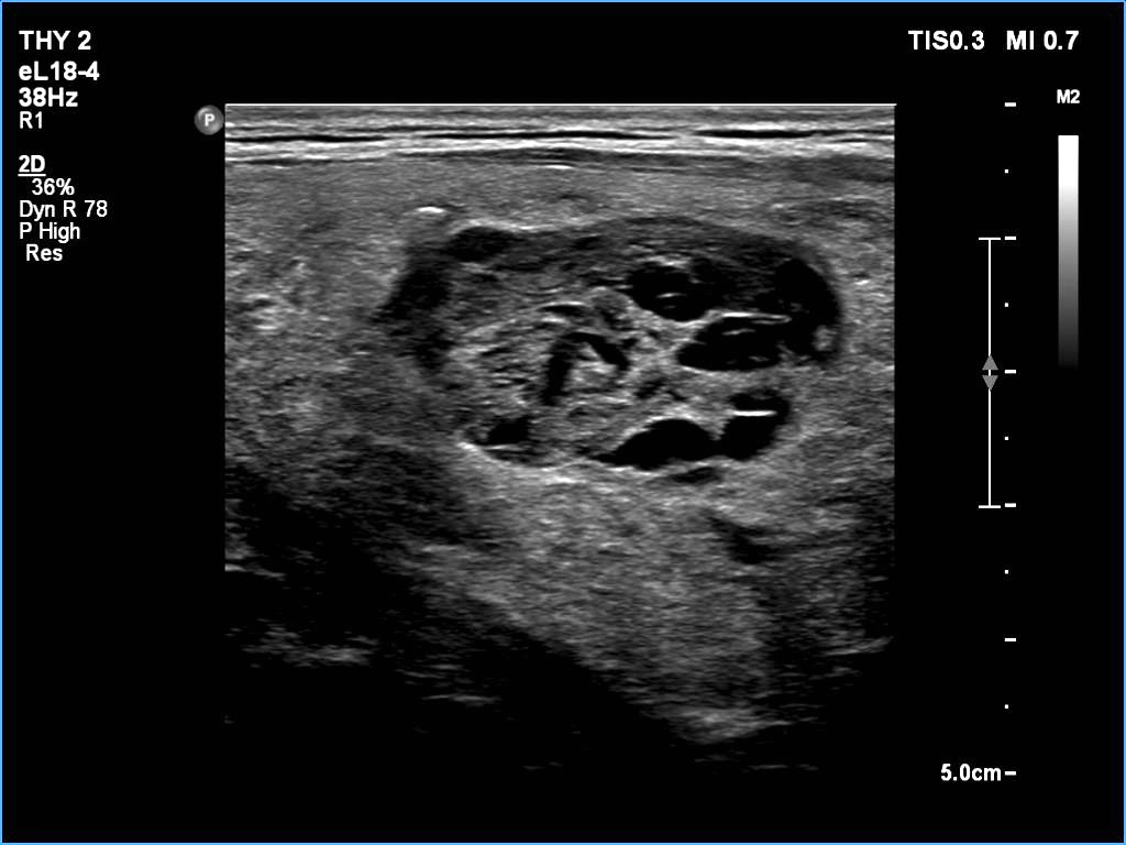
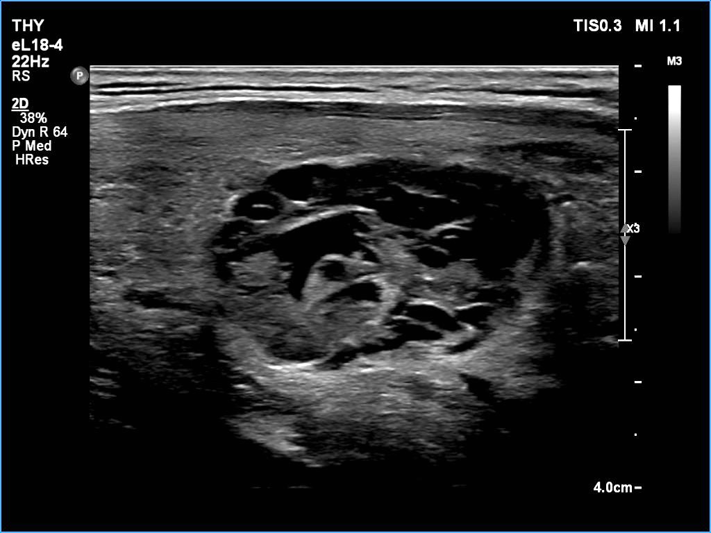
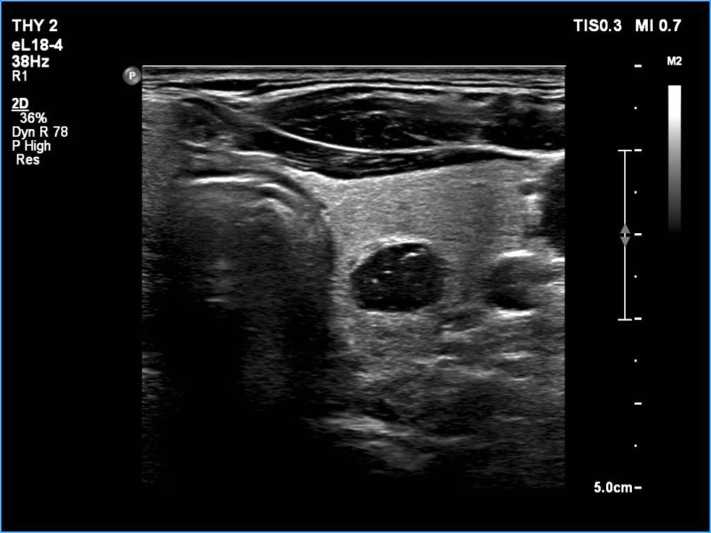
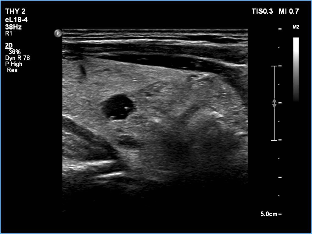
Ultrasonography: The thyroid was echonormal. There was a larger nodular mass in the right lobe which was composed of a dominantly solid echonormal portion that surrounded a dominantly cystic area. There were multiple nodules in the left lobe. The latter included an almost completely cystic lesion.
Aspiration cytology was performed from the nodule in the right lobe which resulted in benign cystic degeneration.
Suggestion: ultrasound in a year.
Comment. The right nodule is dominantly solid one because the cystic portion is less than 50%. The cystic portion of the nodule is multichambered which presents spongiform areas. The left cystic nodule is an almost completely cystic lesion, that has disappeared after the removal of cystic fluid.










