The composition of the nodule - case 84 |
|
Clinical presentation: A 32-year-old woman was referred for aspiration of a nodule has been known for a decade. The patient has been treated with hypothyroidism for five years.
Palpation: Both lobes were hard and the left was painful on palpation.
Result of blood test: TSH 3.08 mIU/L on daily 75 microgram levothyroxine.
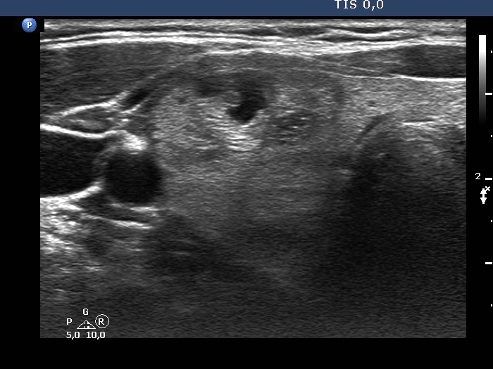
Ultrasonography. The thyroid was composed of numerous discrete lesions of various echogenicities. There was a partly cystic nodule in the upper-ventral part of the right lobe. The left lobe contained several cystic areas having comet tail artifacts.
Aspiration cytology of the largest nodule in the right lobe resulted in benign colloid goiter.
Comment. The distinction between a cystic nodule and a cystic area is based on the size and the sum of the lesion and on the internal content. If the latter suggest a pure cyst in multiple lesions smaller than 1 cm in maximal diameter, than the lesions are very likely not true nodules but dilated macrofollicles.








