The composition of the nodule - case 353 |
|
Clinical presentation: A 33-year-old man was referred for evaluation of a mass in the right thyroid. The patient suffered a neck trauma when boxing 5 days before the present examination. He noticed an increasing mass in the location of the right thyroid within hours after the trauma.
Palpation: The right lobe was composed of a large elastic nodule.
Functional state: euthyroidism with TSH 2.57 mIU/L.
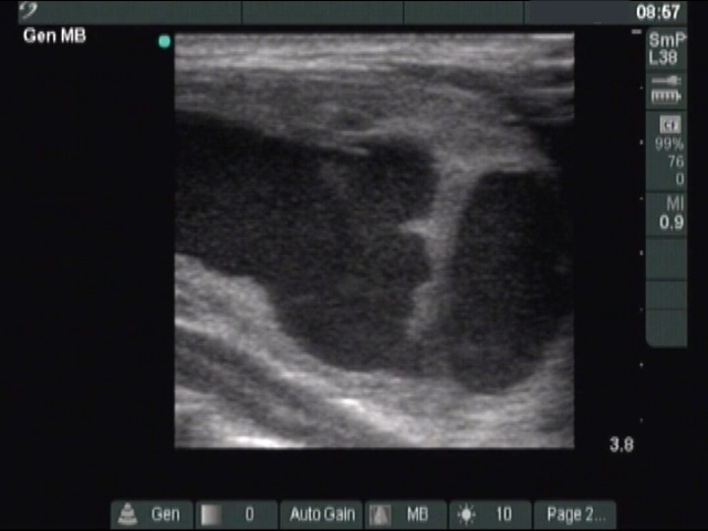
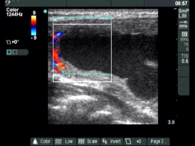
Ultrasonography: The thyroid was echonormal. A large cystic nodule composed of multiple chambers occupied almost the entire right lobe. Several fibrotic bundles dividing the chambers of the cyst were ruptured. The nodule presented halo sign and perinodular blood flow.
We aspirated 23 mL bloody fluid, but the size of the nodule remained unchanged because the cyst refilled at once during the process of evacuation.
Surgery was advised.
Histopathology disclosed benign cystadenoma of the right lobe.










