The composition of the nodule - case cons100_012 (cytologic picture 2)


Previous picture Back to Case Maximize Next picture


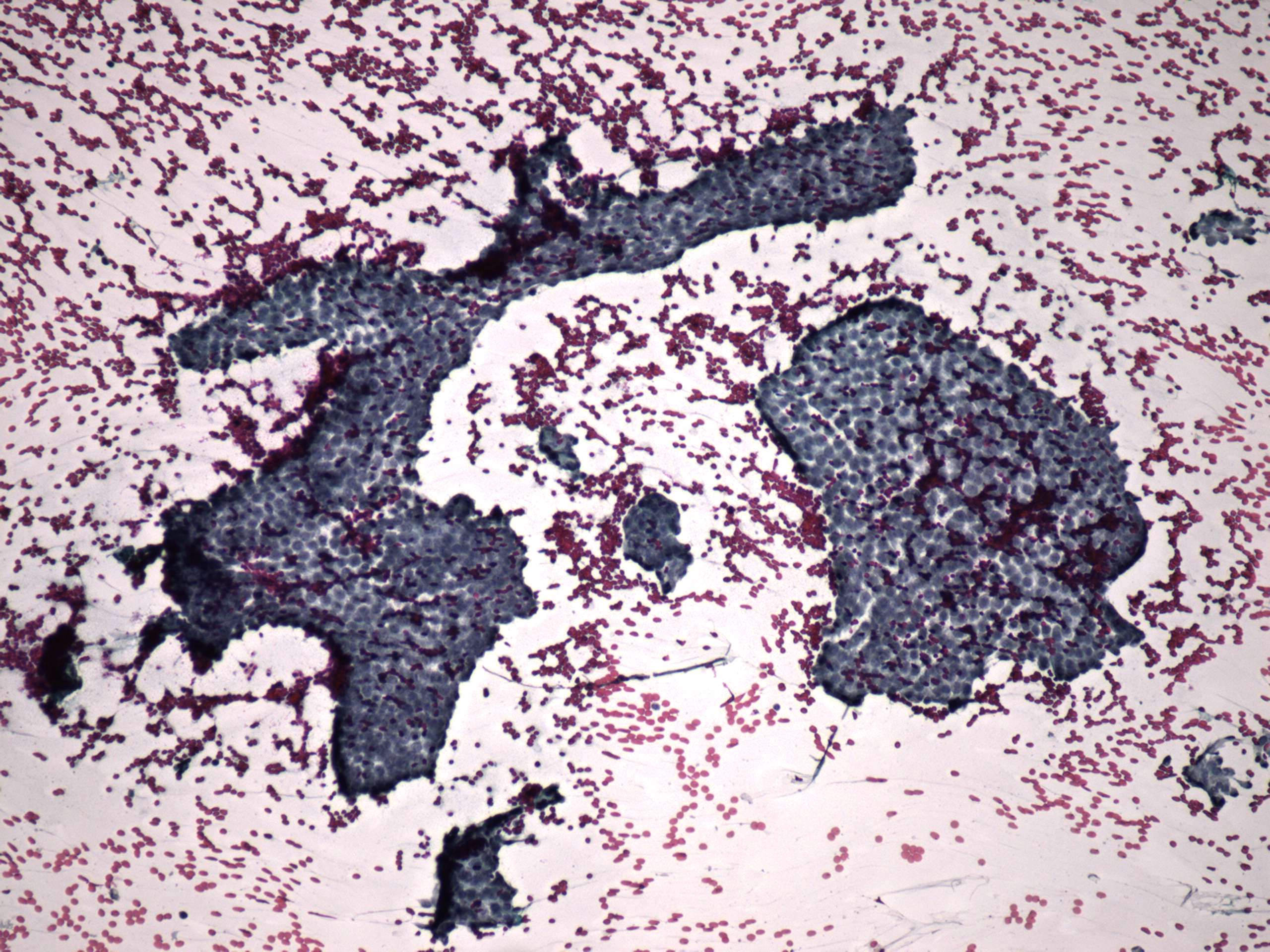
Pap-smear, 100x.   A papillary growth pattern is demonstrated.

 

 

 

 

 

mask