The composition of the nodule - case cons100_012 (cytologic picture 3)


Previous picture Back to Case Maximize Next picture


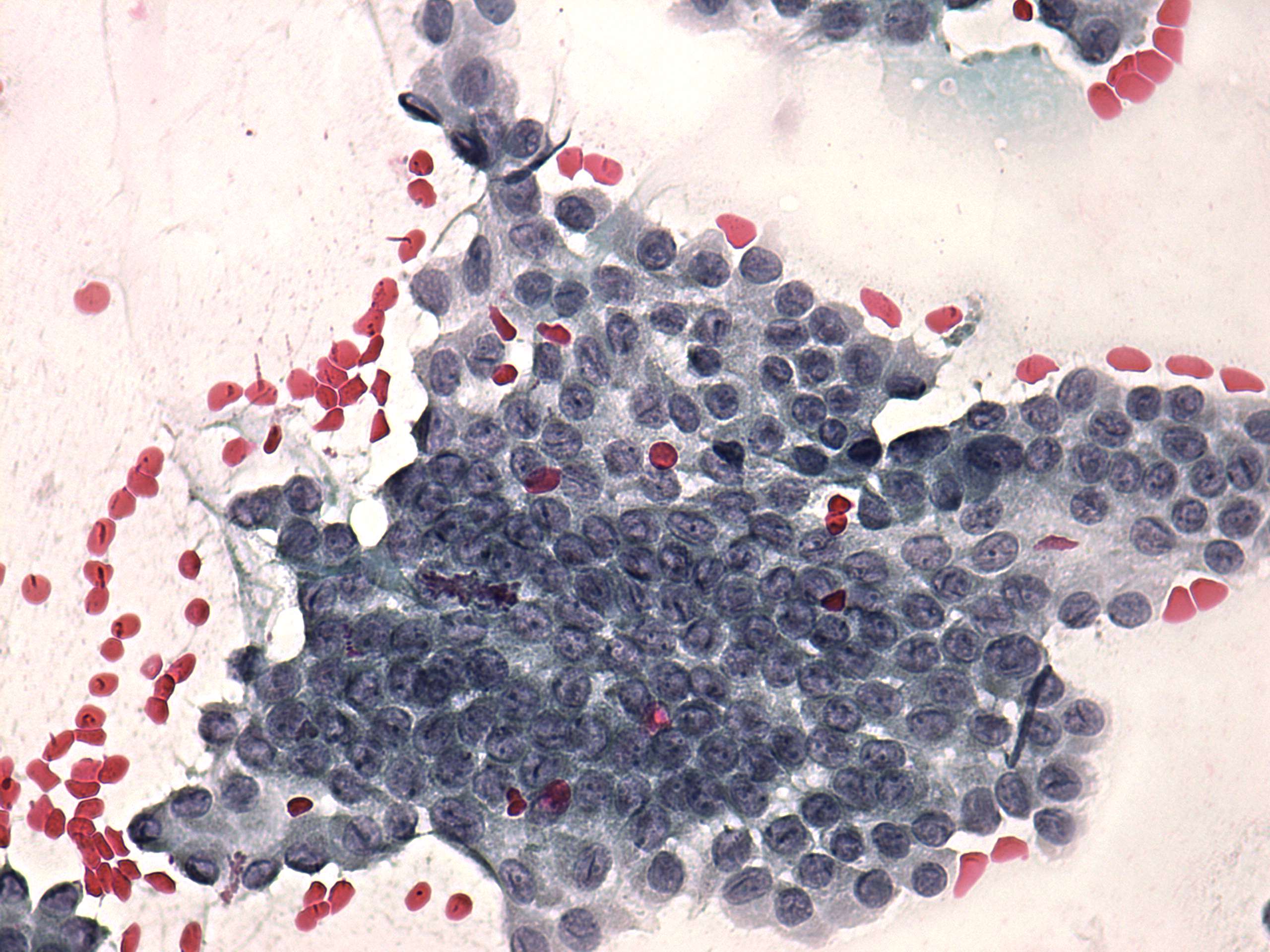
Pap-smear, 400x.   An extremely great proportion of nuclei presents grooves.

 

 

 

 

 

mask