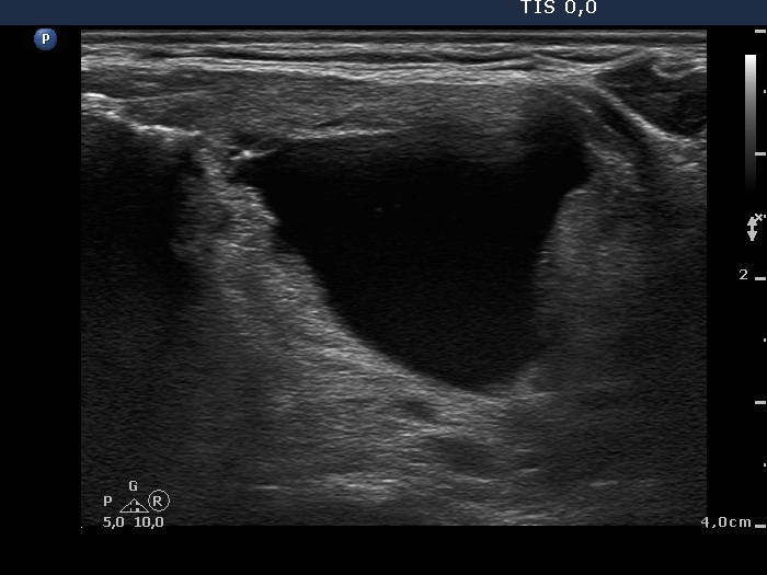
Intranodular hyperechogenic figures - case 608 (ultrasonographic picture 4)


Previous picture Back to Case Next picture


Isthmus, transverse view. This is the cystic part of the lesion.

mask