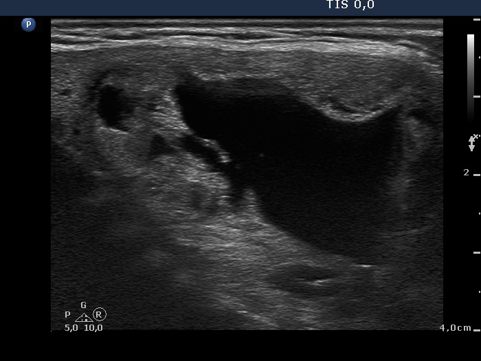
Intranodular hyperechogenic figures - case 608 (ultrasonographic picture 5)
|
|
|
|
Isthmus, longitudinal view. There are several smaller cystic areas within the lesion. On this image, the lesion seems to be a central-type cyst.
