Elastography - case 1497 (ultrasonographic picture 1)


  Back to Case Next picture

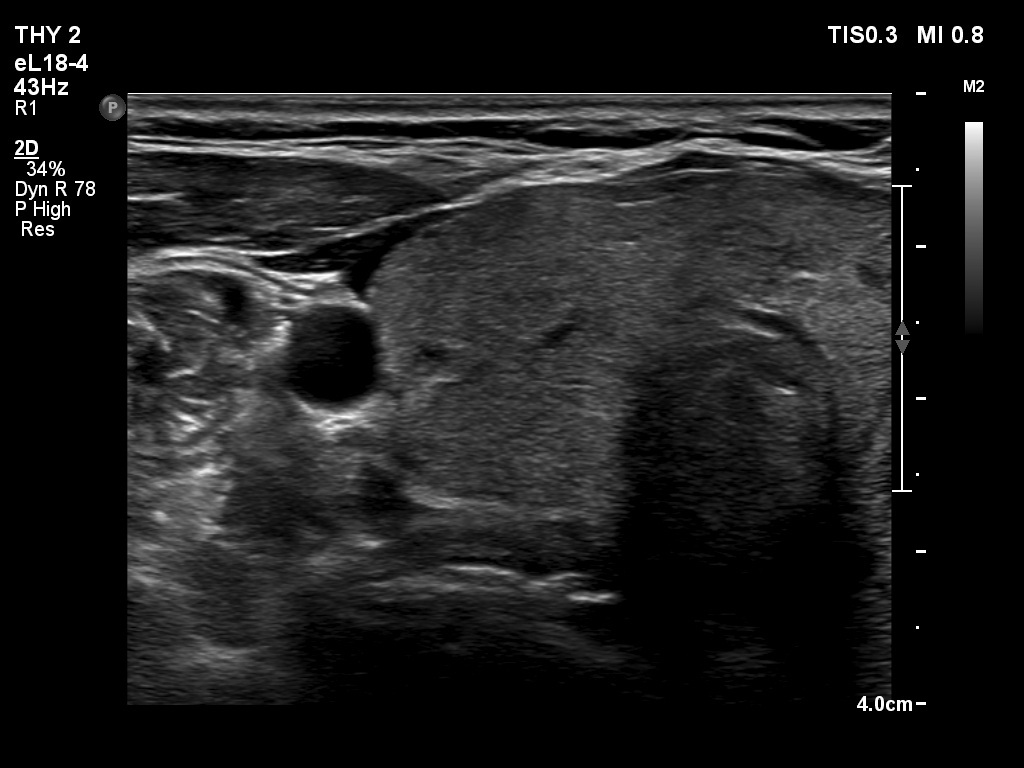
Right lobe, longitudinal scan

Right lobe, transverse scan. The thyroid is echonormal and has several discrete areas.

 

 

 

 

 

mask