Elastography - case 1497 (ultrasonographic picture 2)


Previous picture Back to Case Next picture

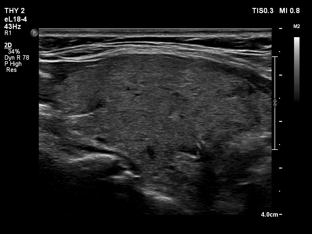
Right lobe, longitudinal scan

Right lobe, longitudinal scan. None of the discrete lesions has clinical significance.

 

 

 

 

 

 

mask