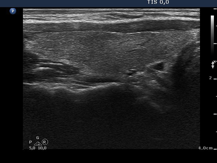
Extrathyroidal spread - case conp 032 (ultrasonographic picture 2)
|
|
|
|
Right lobe, longitudinal scan. There are several minimally hypoechogenic areas, the presence of which raises the possibility of lymphocytic thyroiditis.
