Prev

TIRADS - case 2086

Nodular goiter

Next

Clinical presentation: A 14-yr-old girl was referred for evaluation of an elevated TSH. She was investigated because of fatigue.

Palpation: no abnormality.

Laboratory tests: TSH 4.97 mIU/L, FT4 12.4 pM/L, aTPO 7 U/mL.

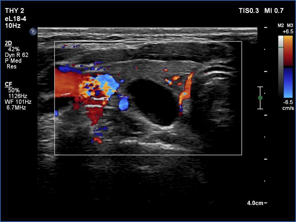
Ultrasonography. The thyroid was echonormal. There were several small hypoechoic areas in both lobes and a cystic nodule in the right lobe. At first sight the nodule seemed to be a pure cyst. However, thorough analysis revealed a tiny echonormal solid area in the dorsal part of the lesion. Therefore, this nodule does not meet the criteria of a pure cyst. The lesion presented taller-than-wide shape.

Suggestion. TSH determination in a year, ultrasound in 3 years.

Comment.

  1. In incipient forms of Hashimoto's thyroiditis, the ultrasound is more sensitive than aTPO. A minimal degree of TSH elevation at this young age is not abnormal.

  2. If we detect any solid part within an almost completely cystic nodule than the lesion should not describe as a pure cyst. Indeed, this cyst belongs to the peripheral-type subgroup.

  3. This case illustrates one of the most important limitations of taller-than-wide shape. A nodule inevitably follows the anatomy. The cartilage of the trachea hinders the horizontal spread, therefore the only remaining route for the nodule is to extend in the perpendicular direction.

  4. The cystic lesion can be regarded as EU-TIRADS 2 or EU-TIRADS 3 nodule, depending on the judgement of the uncertain structure at the cystic wall. Nor can it be ruled out to classify the lesion as EU-TIRADS 5 due to the nonparallel orientation. However, it is more rational and in the best interest of the patient to classify the lesion as EU-TIRADS 2.

 

 

 

 

 

 

 

 

 

 

 

 

 

 

 

 

mask