TIRADS - case cons100_018 |
|
Clinical presentation: A 60-year-old woman was referred for aspiration cytology. She underwent a left lobectomy for 7 seven years. Histopathology disclosed benign hyperplastic nodules. 6 months before the present investigation a colon carcinoma was found.
Palpation: no abnormality.
Functional state: euthyroidism (TSH 2.01 mIU/L).
Ultrasonography. The right lobe was moderately hypoechogenic and inhomogeneous. There was a lesion in the lateral part of the lobe which presented a similar echo pattern to the extralesional part. The mass presented halo sign and showed taller-than-wide sign. There was no parenchyma in the left thyroid bed.
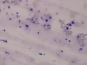
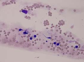
Cytology resulted in benign lesion.
We performed wash-out thyroglobulin examination which yielded 458 ug/L.
Suggestion: follow-up examination next time 3 years later.
Comments.
-
Thyrocytes presented pleomorphism. Nevertheless, there was no pathognomonic atypia present, follicular cells exhibited neither inclusion nor groove nor oxyphilic changes. Atypia is a very common finding in thyroid smears. Simple hormonal influences not reflected in a blood test can cause such phenomenon. The rational question is in such cases is whether the atypia might correspond to any type of thyroid carcinoma. The arrangement of cells and the clinical history should be also taken into account. The lack of follicle formation excluded a follicular-type tumor while the clinical presentation did an anaplastic carcinoma.
-
Considering the history, a metastasis had to be excluded, too. We did it with a wash-out thyroglobulin determination.
- The echo pattern of the nodule is almost identical to that of the extranodular part. Depending on the definition of 'normal thyroid' the nodule can be considered either isoechoic or moderately hypoechoic, the reference tissue is the non-nodular parenchyma of the specific case or a healthy thyroid, respectively. Nevertheless, the nodule is in either case an EU-TIRADS 5 nodule due to the nonparallel orientation.










