TIRADS - case 218 (cytologic picture 4)


Previous picture Back to Case Maximize Next picture

Right lobe, longitudinal scan

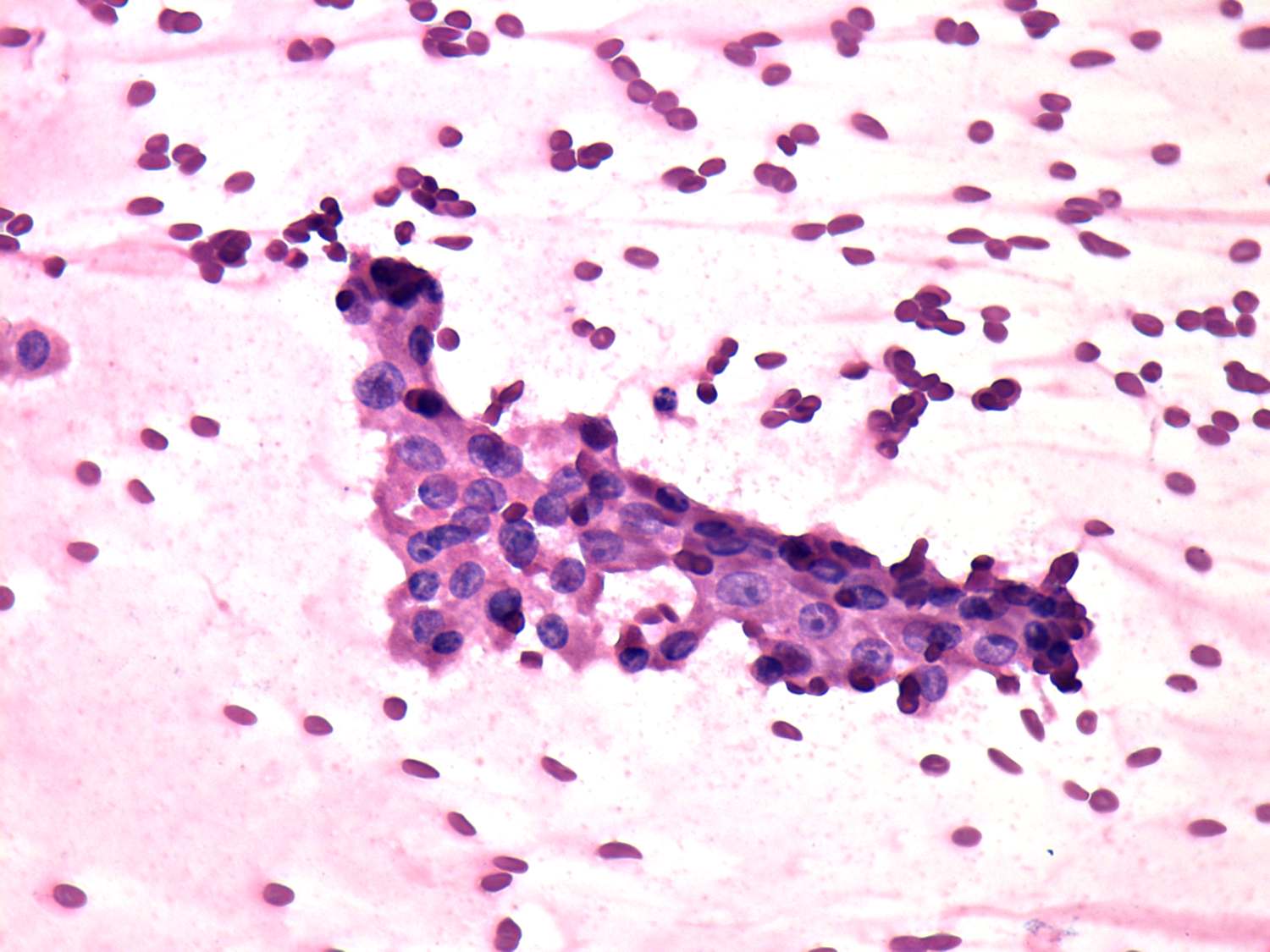
Pap-smear, 400x.  There is a nucleus with a groove. The latter has only limited siginificance in the case of oxyphilic metaplasia.

 

 

 

 

 

mask