TIRADS - case 218 (cytologic picture 5)


Previous picture Back to Case Maximize  

Right lobe, longitudinal scan

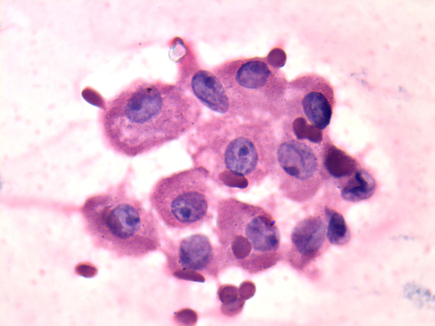
Pap-smear, 1000x.  A loose group of oxyphilic cells. Note the presence of grooves.

 

 

 

 

 

mask