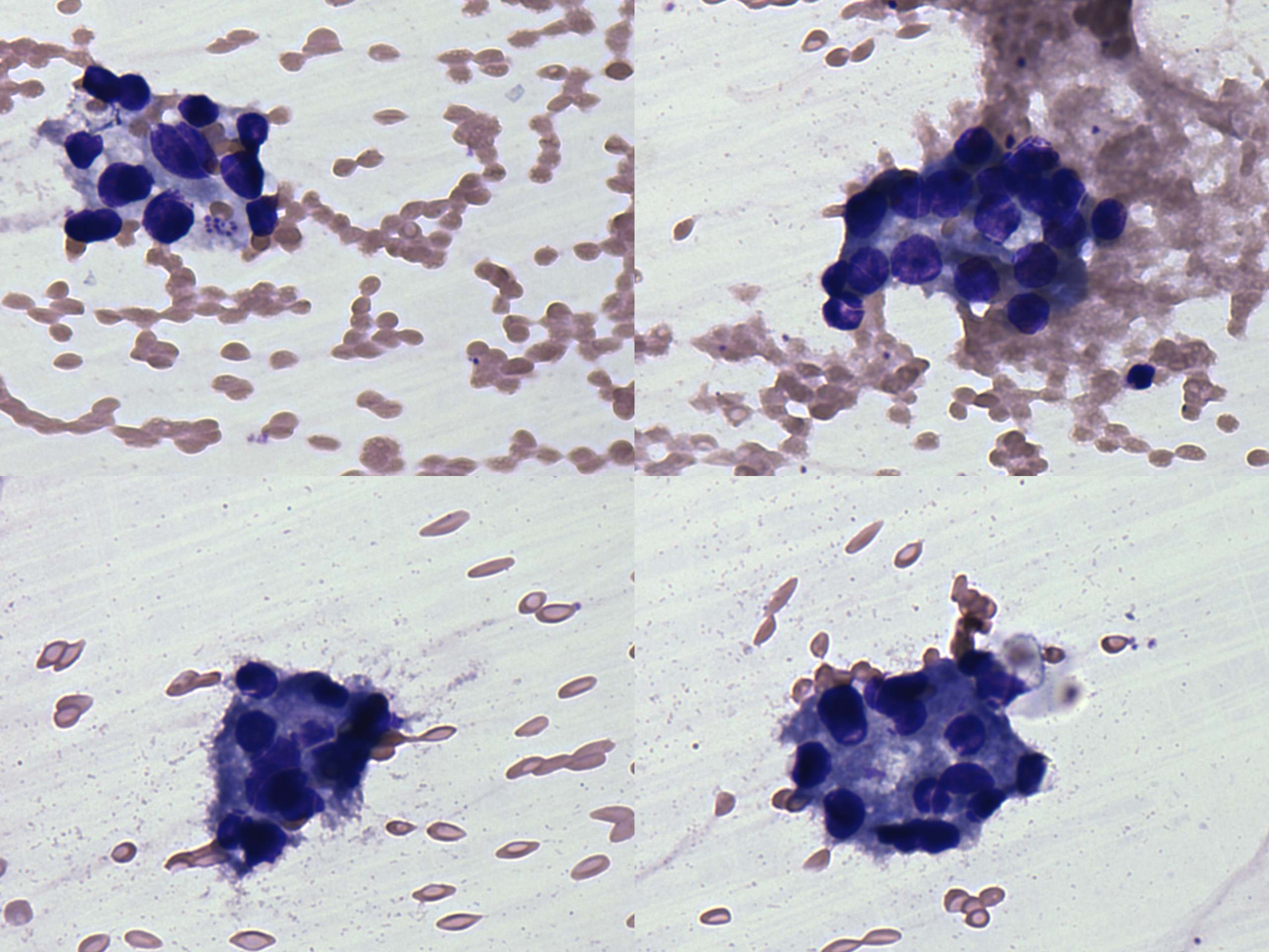
TIRADS - case 239 (cytologic picture 4 of the larger lesion)


Previous picture Back to Case Maximize Next picture

Right lobe, longitudinal scan

Wright-Giemsa staining, 400x.   Microfollicles predominate the smear.

 

 

 

mask