Menu
2022-23 Advanced Papillon Course
Home
Case of the Month
Webinars
1 Introduction
2 Nodular goiter
TIRADS
Chapter Home
Manual
Courses
Cases
Videolibrary
Exam
3 Non-nodular thyroid
4 Non-thyroid neck
5 US-interventions
6 Advanced courses
7 Related topics
Supplement
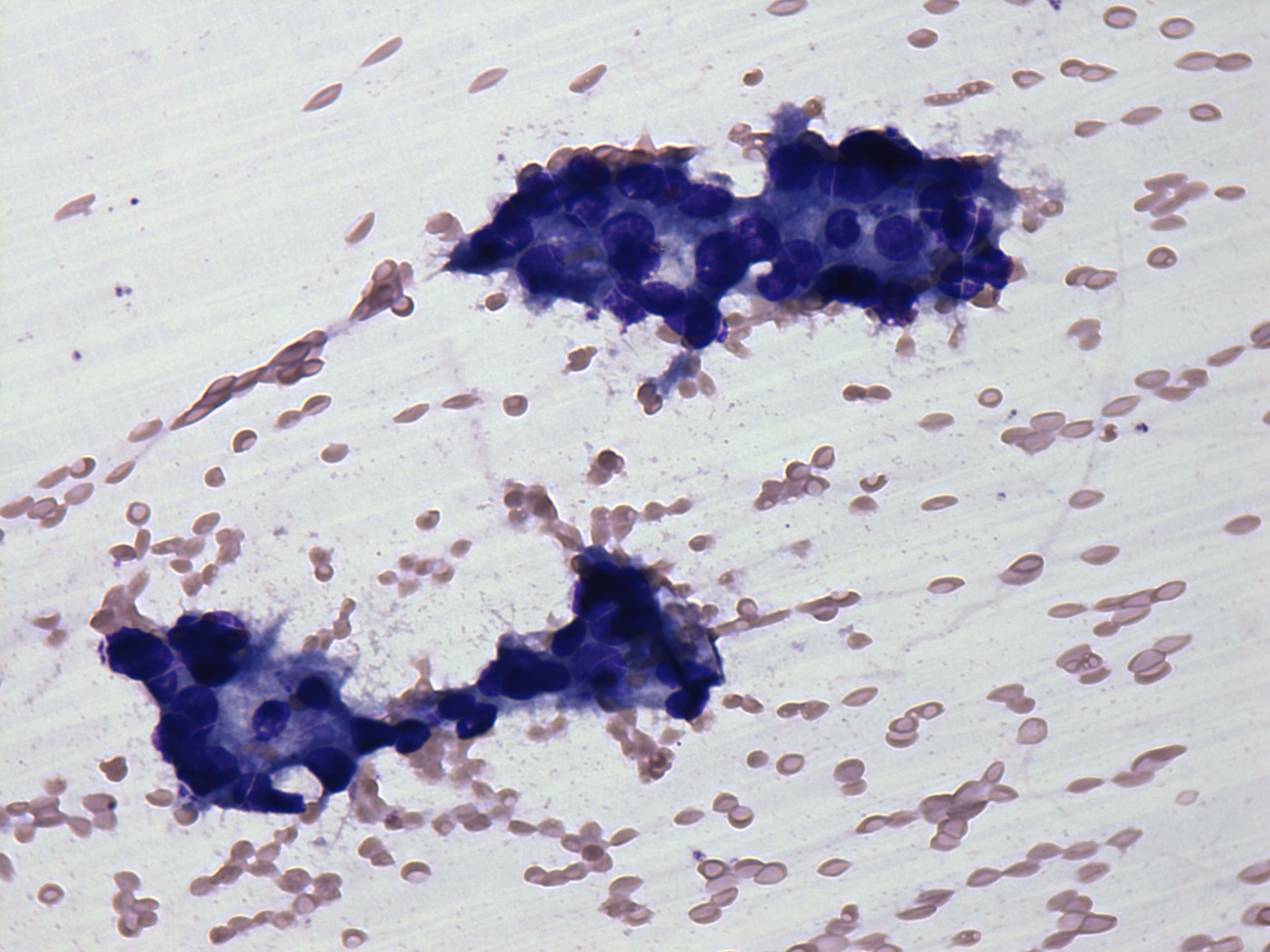
TIRADS - case 239 (cytologic picture 5 of the larger lesion)
Wright-Giemsa staining, 400x.