TIRADS - case 239 (cytologic picture 6 of the larger lesion)


Previous picture Back to Case Maximize  

Right lobe, longitudinal scan

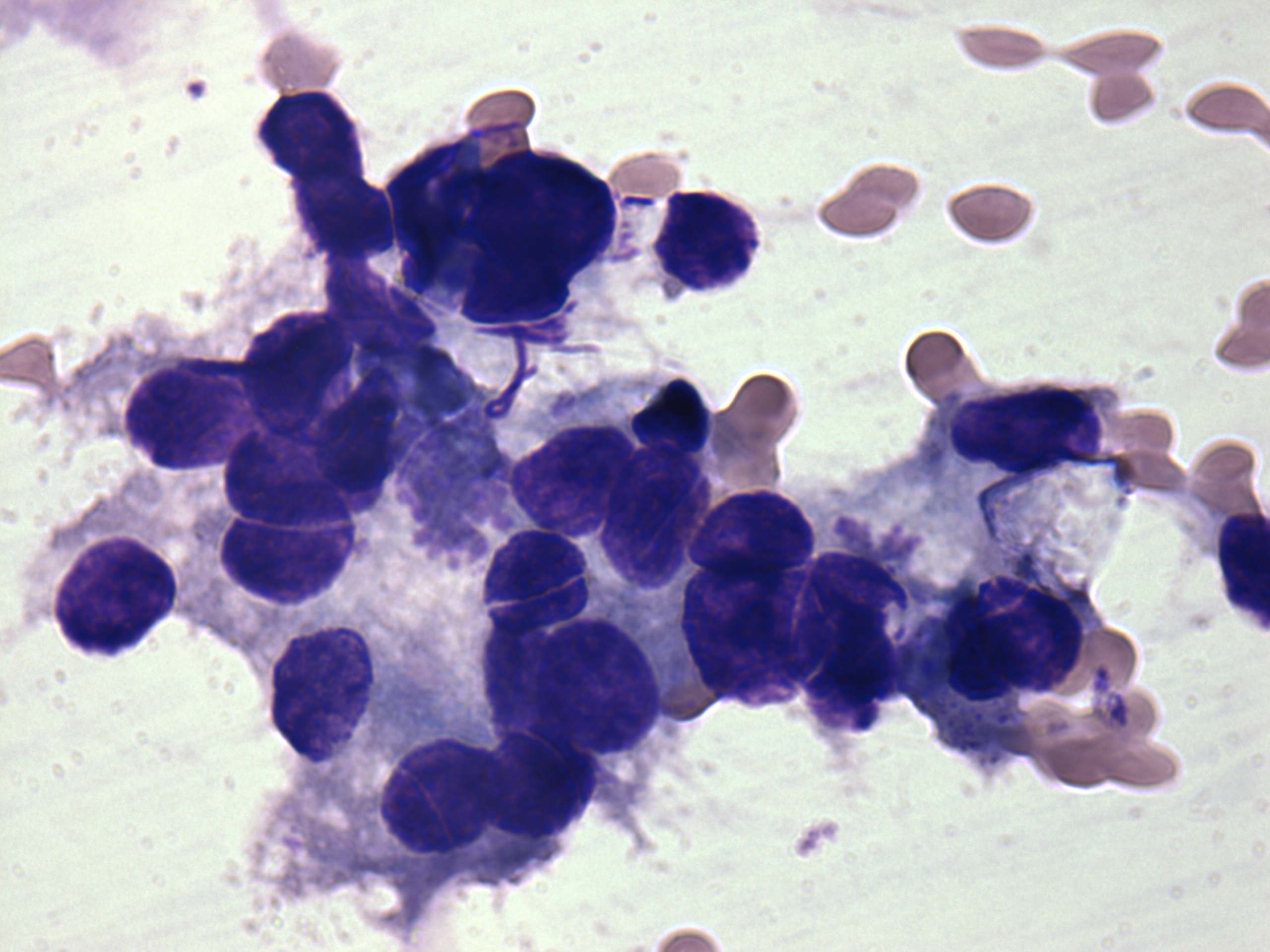
Wright-Giemsa staining, 1000x.   Follicular cells present crowding and overlapping.

 

 

 

mask