TIRADS - case 239 (cytologic picture 1 of the smaller lesion)


Back to Case Maximize Next picture

Right lobe, longitudinal scan

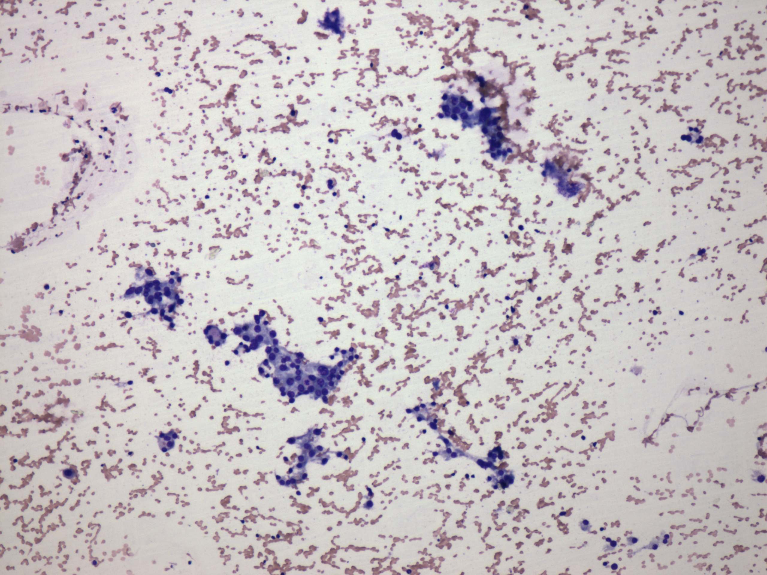
Wright-Giemsa staining, 100x.   There are monolayered sheets of follicular cells.

 

 

 

mask