TIRADS - case 239 (cytologic picture 2 of the smaller lesion)


Previous picture Back to Case Maximize Next picture

Right lobe, longitudinal scan

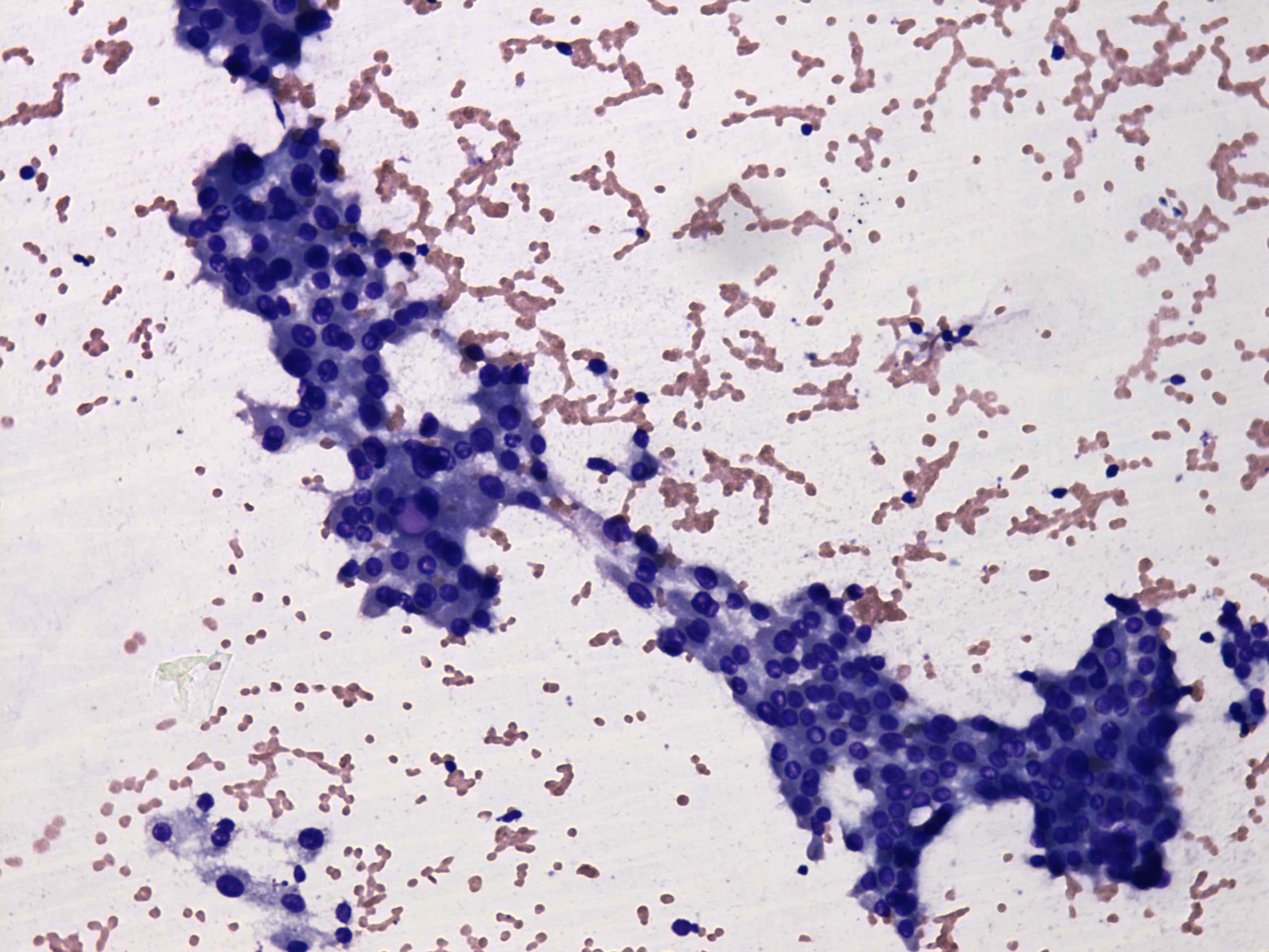
Wright-Giemsa staining, 200x.   Regular sheets of follicular cells are demonstrated.

 

 

 

mask