TIRADS - case 239 (cytologic picture 6 of the smaller lesion)


Previous picture Back to Case Maximize Next picture

Right lobe, longitudinal scan

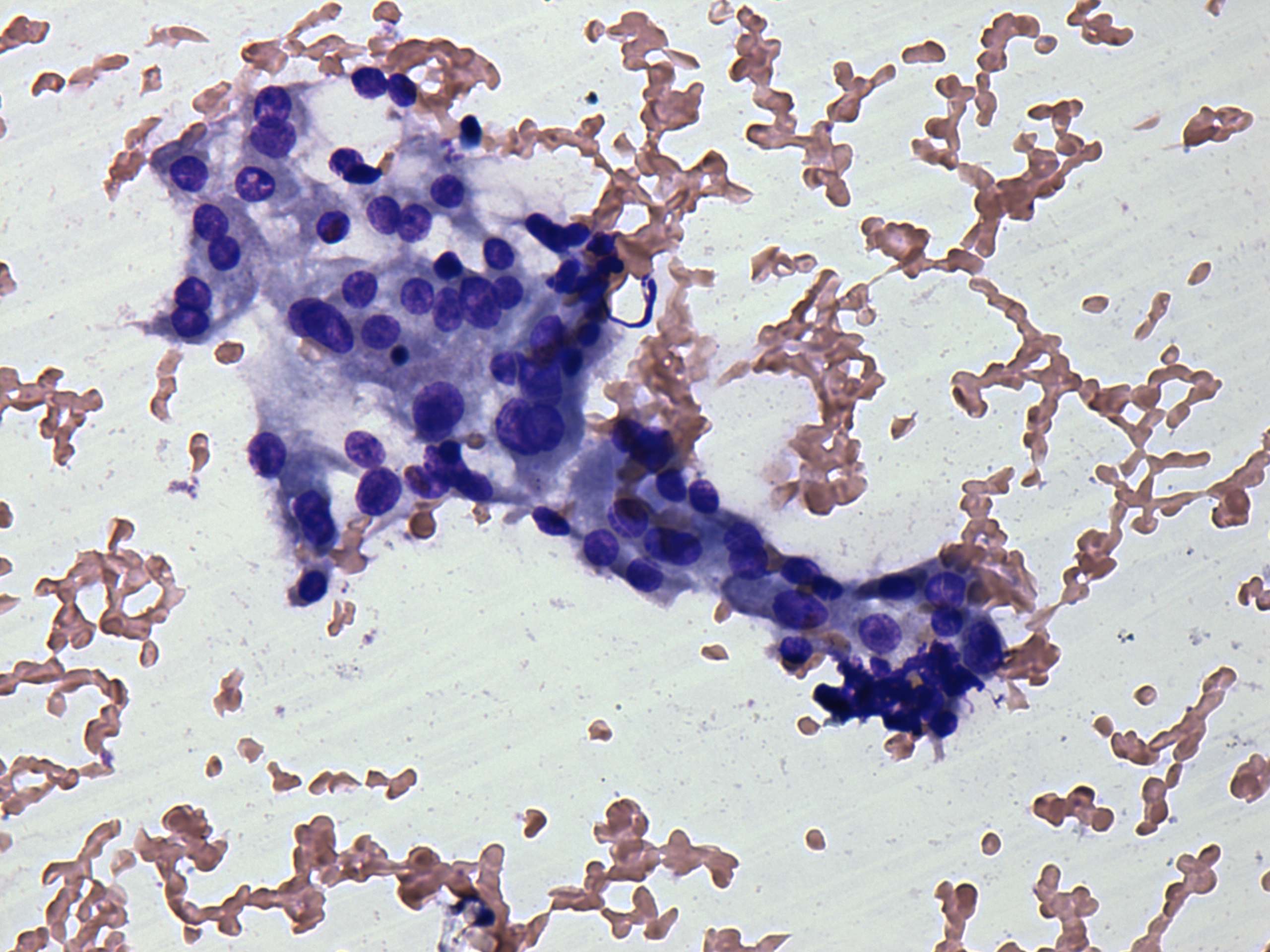
Wright-Giemsa staining, 400x.   Follicular cells are mixed with lymphocytes within the same group.

 

 

 

mask