TIRADS - case 239 (cytologic picture 7 of the smaller lesion)


Previous picture Back to Case Maximize Next picture

Right lobe, longitudinal scan

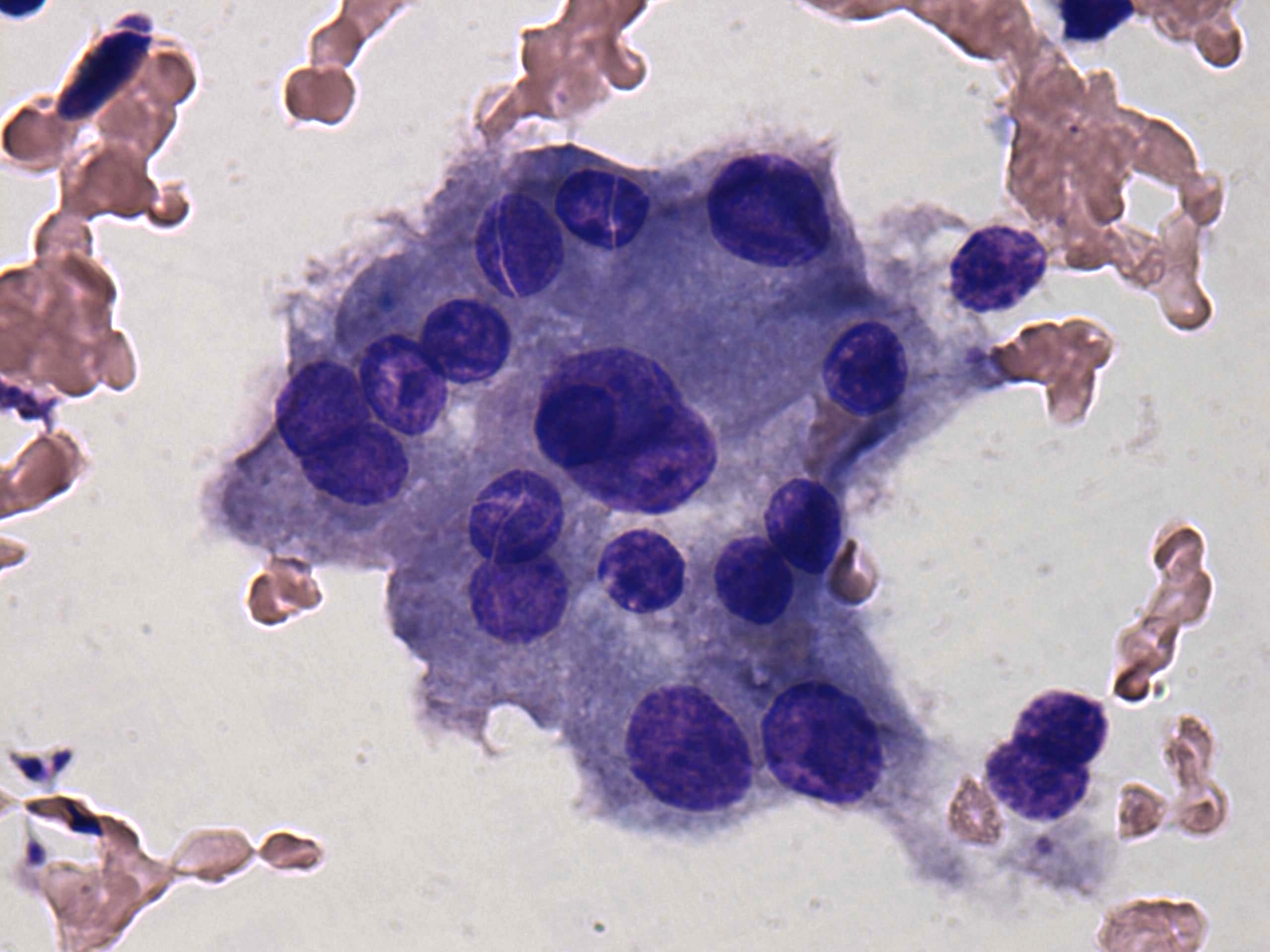
Wright-Giemsa staining, 1000x.   Follicular cells present overlapping which has a very limited importance in Hashimoto's thyroiditis.

 

 

 

mask