TIRADS - case 497 |
|
Clinical presentation: A 56-year-old woman was referred for evaluation of a thyroid nodule discovered on evaluation of hypertension.
Palpation: no abnormality.
Hormonal examination: TSH-level 1.02 mIU/L, FT4 17.2 pM/L, aTPO 43 U/mL.
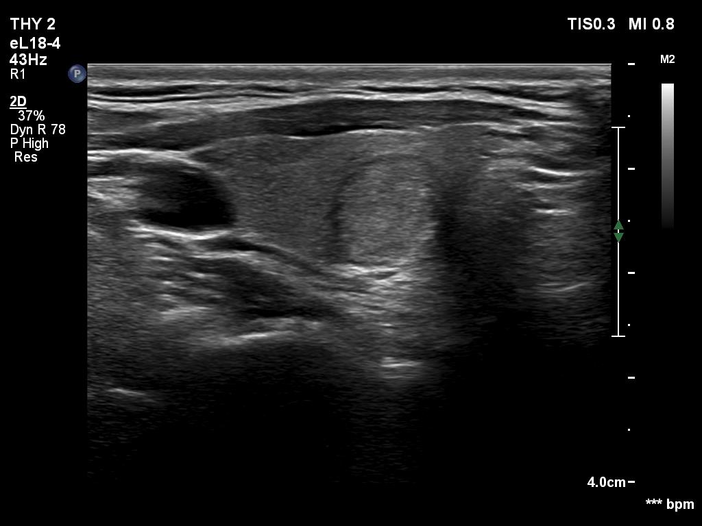
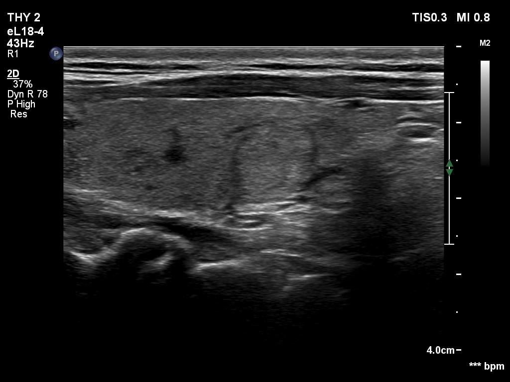
Ultrasonography. The thyroid was echonormal or minimally hypoechogenic. There was an iso/hyperechoic nodule in the right lobe. The lesion had halo and sowed taller-than-wide shape. The vascularity was not specific.
Cytology resulted in benign colloid goiter.
Comments. The nodule is an EU-TIRADS 5 lesion due to the nonparallel orientation.





