Prev

Subacute granulomatous thyroiditis - case 1514

Nodular goiter

Next

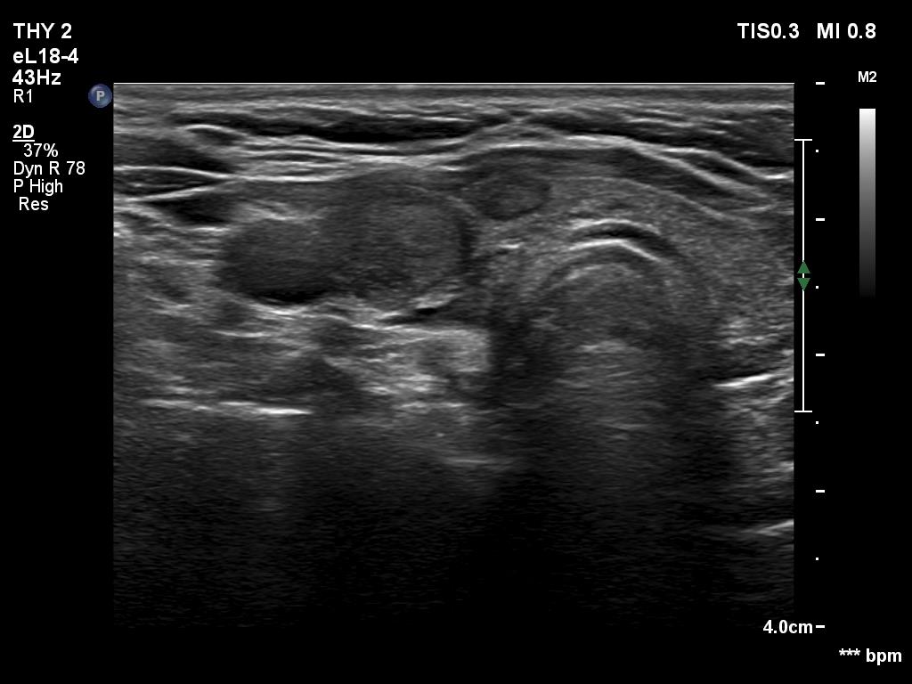
Initial examination (first row of images):

Clinical presentation: A 47-year-old woman was referred for evaluation of complaints suggesting subacute thyroiditis. She has had neck complaints and subfebrility for a month. First, the right lobe became painful, two weeks later the pain migrated to the left lobe. Non-steroid anti-inflammatory drug and 20 mg methimazole were administered by the GP. The complaints ceased 10 days before the present examination. A week after the beginning of the complaints, the CRP was 107 mg/L, the FT4 39.1 pM/L.

Palpation: Both lobes were firm, the left lobe was a bit tender on palpation.

Laboratory examination: TSH 0.01 mIU/L, FT4 17.9 pM/L, CRP 3.0 mg/L.

Ultrasonography: Both lobes were moderately hypoechoic and had a cloudy appearance. Both lobes had discrete lesions without oncological importance. The vascularity was decreased.

Diagnosis: subacute, granulomatous de Quervain's thyroiditis.

Suggestion. Ceasing the thyrostatic therapy and the anti-inflammatory drug. Repeat examination in three months, if the complaints would recur, at once.

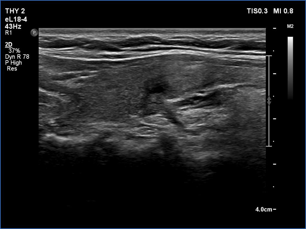
Examination 3 months later (second row of images):

Clinical presentation: The patient had no complaints.

Palpation: no abnormality.

Laboratory tests: TSH 5.87 mIU/L, FT4 8.1 pM/L, CRP 0.2 mg/L.

Ultrasonography: The thyroid has decreased in size. The echogenicity and the vascularity of the right lobe remained unchanged while those of the left lobe became almost normal.

Suggestion. Follow-up in six months.

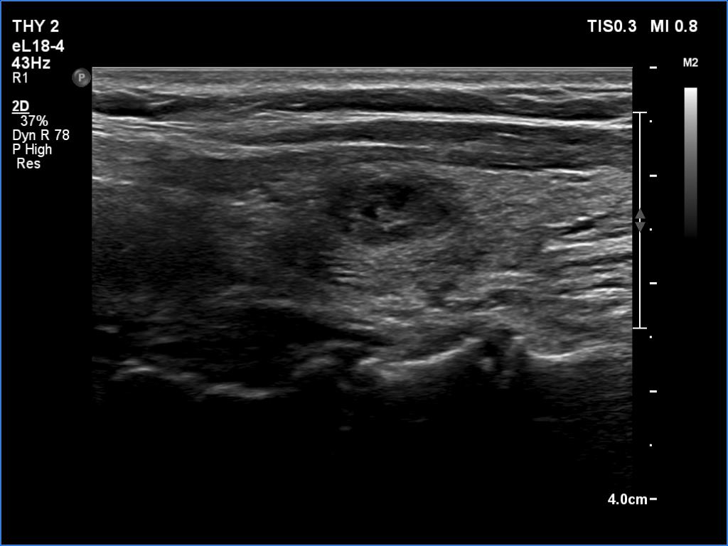
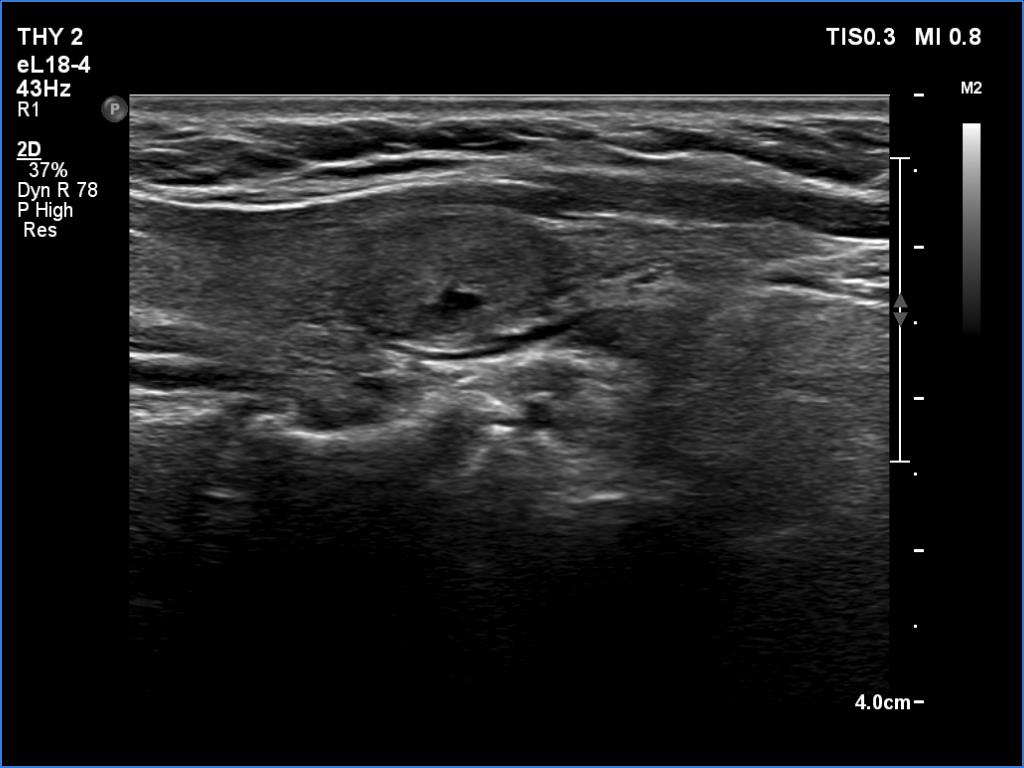
Examination a year after the first visit (third row of images):

Clinical presentation: The patient had no complaints.

Palpation: no abnormality.

Laboratory tests: TSH 2.05 mIU/L, FT4 13.7 pM/L.

Ultrasonography: The ultrasound pattern has normalized. There was a moderately hypoechoic nodule in the right lobe while a cystic lesion in the left one.

Cytology of the right nodule resulted in benign colloid goiter.

Suggestion. Follow-up in two years.

 

 

 

 

 

 

 

 

 

 

 

 

 

mask