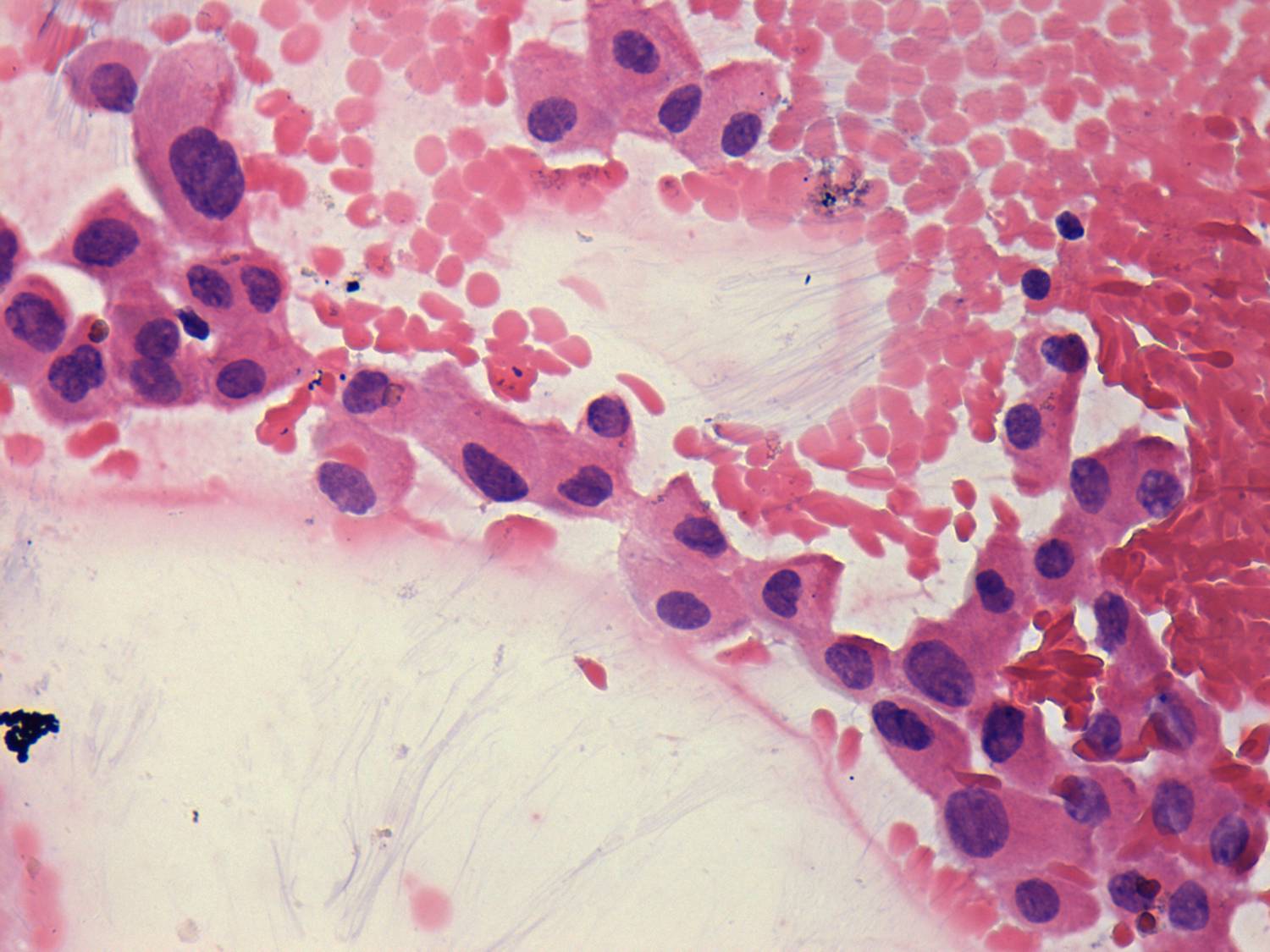
Subacute granulomatous thyroiditis - case 1777
Five months after the first examination (cytologic picture 5)
|
|
|
![]() |
|
Pap-smear, 400x. Follicular cells display moderate degree of pleomorphims.

