Subacute granulomatous thyroiditis - case 1777 (cytologic picture 6)


Previous picture Back to Case Maximize  

Right lobe, longitudinal scan

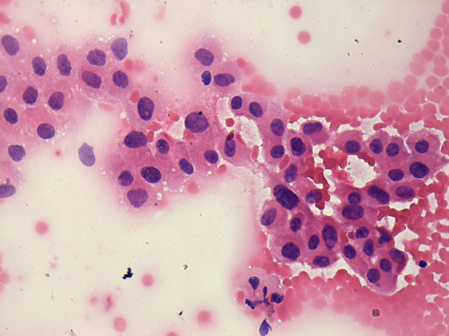
Pap-smear, 400x.   Follicular cells present oxyphilic changes. Note the presence of inclusions.

 

 

 

mask