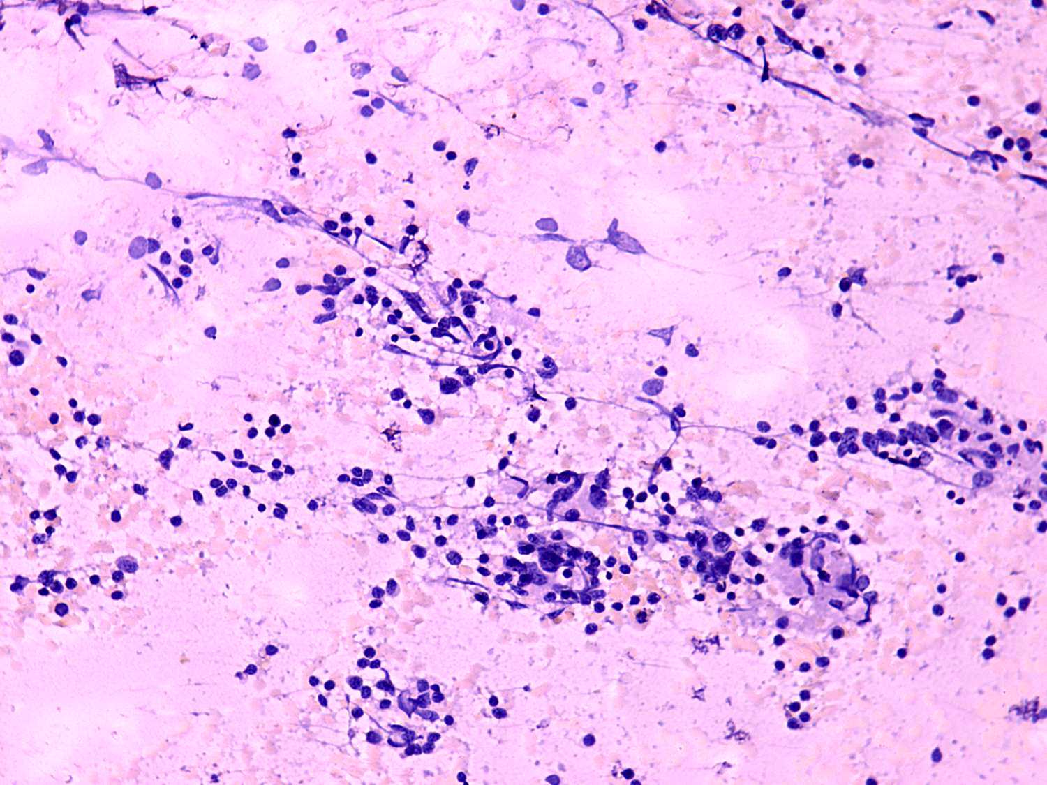
Subacute granulomatous thyroiditis - case 370 (cytologic picture 2)


Previous picture Back to Case Maximize Next picture



Pap-smear, 200x.   Groups of follicular cells and histiocytes.

mask