Subacute granulomatous thyroiditis - case 370 |
|
Clinical presentation: A 29-year-old woman was referred for an evaluation of complaints suggesting thyroiditis. She had subfebrility and neck pain for three weeks. She noticed palpitation and nervousness, as well.
Palpation: The right lobe was painful, while the left lobe was tender. Both lobes were hard.
Functional state: hyperthyroidism with TSH 0.001 mIU/L, FT4 34.9 pM/L. The erythrocyte sedimentation rate was 70 mm/H.
Ultrasonography: The right lobe was moderately hypoechogenic, while the left one was echonormal-minimally hypoechogenic. Several more hypoechogenic areas with ill-defined borders were found. The vascularization was decreased.
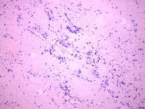
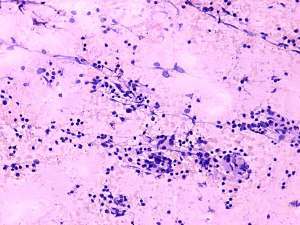
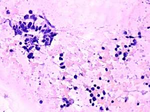
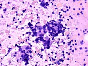
Cytology: benign, subacute, granulomatous de Quervain's thyroiditis.
Comment: We started steroid therapy and the complaints of the patient ameliorated within 12 hours.










